U hebt een afspraak voor een CT scan onderzoek. In deze tekst leest u wat dit onderzoek inhoudt. Heeft u na het lezen van deze informatie nog vragen, stelt u deze dan gerust aan de radiodiagnostisch laborant of uw behandelend arts.
Een CT-scan, wat is dat?
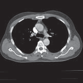
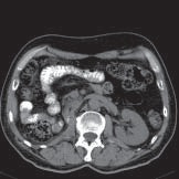
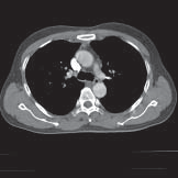
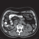
De CT-scanner (afgekort CT) is een apparaat dat door middel van röntgenstralen en een computer afbeeldingen maakt van uw organen, botten en weefsels. Zo’n afbeelding heet een CT-scan. Op een CT-scan is een dwarsdoorsnede van het te onderzoeken orgaan, bot of weefsel te zien. Hiervan kan op een computer achteraf een reconstructie worden gemaakt in een andere richting. Hieronder ziet u enkele voorbeelden van CT-scans.




Wat zijn de voorbereidingen voor het onderzoek?
Bij sommige CT-onderzoeken moet u van te voren contrastmiddel drinken en/of een infuus krijgen (kijk ook bij de informatie onder ‘Contrastvloeistof’). Op uw afspraakbevestiging staat het tijdstip waarop u aanwezig moet zijn. Op uw afspraakbevestiging vindt u ook advies over de te dragen kleding, sieraden enzovoort.
Het onderzoek
In de onderzoeksruimte komt u op een smalle tafel te liggen (zie foto). Tijdens het onderzoek schuift deze tafel langzaam door de opening van de CT-scanner. Een gedeelte van uw lichaam ligt dus korte tijd in de opening van de scanner.

De laborant bedient het toestel vanuit een aangrenzende ruimte en praat tegen u via een intercom. Het is belangrijk dat u tijdens de opname stil ligt, anders mislukt het onderzoek. Bij bepaalde onderzoeken, bijvoorbeeld van de buik, kan de laborant u vragen om de adem stil te houden. De laborant maakt een aantal opnames die ongeveer 5 tot 25 seconden duren. Tijdens het onderzoek draait de röntgenapparatuur in de tunnel rond. Dit maakt ook enig geluid. Het onderzoek duurt 10 tot 15 minuten.
Contrastvloeistof
Sommige organen zijn met contrastvloeistof beter zichtbaar te maken. Het kan zijn dat de radioloog bij uw onderzoek contrastvloeistof wil gebruiken. In dit geval wordt er voor het onderzoek een infuus in een ader in de arm ingebracht. Tijdens het onderzoek krijgt u dan de contrastvloeistof via het infuus toegediend. Het kan ook zijn dat u contrastvloeistof te drinken krijgt bijvoorbeeld bij een CT-scan van uw buik.
Belangrijk: behoort u tot een van de volgende patiëntengroepen?
Neemt u contact op met uw behandelend arts als u tot één van de onderstaande groepen patiënten behoort. Afhankelijk van uw situatie kunnen er dan maatregelen getroffen worden om het risico voor u te verkleinen.
Bent u zwanger?
Als u zwanger bent of daar een vermoeden van heeft, neem dan contact op met uw behandelend arts en meld dit ook voorafgaand aan het onderzoek bij de afdeling Radiologie.
Bent u overgevoelig voor contrastmiddel?
Als u overgevoelig bent voor contrastvloeistof moet u dit melden aan uw behandelend arts en de radiologisch laborant en/of radioloog. Er kunnen dan eventueel voorzorgsmaatregelen genomen worden tegen het optreden van een allergische reactie.
Hoe veilig zijn de moderne jodiumhoudende contrastmiddelen?
Moderne jodiumhoudende contrastmiddelen zijn veilige middelen. Er komen maar zelden bijwerkingen voor. Er kunnen problemen ontstaan bij het toedienen van jodiumhoudend contrast als u bepaalde medicijnen gebruikt (metformine en NSAID’s) en slechter werkende nieren hebt. Bij sommige patiënten is er dan een kans dat, na het toedienen van jodiumhoudend contrastmiddel, er een beschadiging van de nieren optreedt.
Mocht er sprake zijn van één of meer van deze risicofactoren neem dan contact op met uw behandelend arts. Afhankelijk van uw situatie kunnen er dan maatregelen genomen worden om het risico voor u te verkleinen. Meer informatie hierover kunt u lezen in de patiëntenfolder ‘Contrastmiddelen bij radiologische onderzoeken’. Via de link kunt u de folder inzien.
Belangrijk: voor iedereen die contrast vloeistof via een infuus krijgt is het belangrijk om de dag voor het onderzoek en direct daarna voldoende te drinken (1.5 liter).
Hoe krijgt u de uitslag?
De radioloog beoordeelt de scans na afloop van het onderzoek. Deze radioloog maakt een verslag voor de arts die voor u het onderzoek heeft aangevraagd. Deze arts zal met u de uitslag bespreken. Let er dus op dat u een vervolgafspraak heeft of maakt.
Waar moet u zich melden?
U meldt u aan bij balie van de afdeling Radiologie & Nucleaire Geneeskunde. Routeinformatie vindt u op uw afsprakenbrief.
Wat moet u meenemen?
Vergeet niet uw patiëntenpas van Amsterdam UMC mee te nemen naar het onderzoek.
Bent u verhinderd te komen?
Kan uw afspraak niet doorgaan, belt u dan even af. Wij kunnen dan een andere patiënt in uw plaats helpen.
Heeft u nog vragen?
Wij hopen dat u voldoende geïnformeerd bent over het CT-scan onderzoek.
Heeft u nog vragen en/of opmerkingen, dan kunt u contact opnemen met de afdeling Radiologie/CT-scan: tel. nr: 020-4444200 (tijdens werkdagen tussen 08.30-16.30 uur).