Larynxpapillomatose betekent ‘wratjes op de stembanden’. De aandoening komt slechts zelden voor, waardoor er weinig over bekend is. Larynxpapillomatose is van grote invloed op het dagelijks leven van zowel de patiënt als de mensen in zijn of haar omgeving. Deze folder informeert u over onder andere het onstaan van larynxpapillomatose, onderzoek naar en de behandeling van larynxpapillomatose. Ook geven we in deze folder antwoord op veelgestelde vragen over onder andere de besmettelijkheid en het beloop van de ziekte.
Wat is een papilloom?
Een papilloom is een goedaardig gezwel van de huid of het slijmvlies. Het is een wratachtig of langwerpig uitgroeisel op de huid, het slijmvlies of de bekleding van een klier. Een papilloom heeft meestal de vorm van een kleine verdikking

Figuur 1: een goedaardige afwijking
Wat is larynxpapillomatose?
Larynxpapillomatose is een ziekte van de luchtwegen en wordt veroorzaakt door het Humaan Papilloma Virus (HPV). Bij larynx-papillomatose groeien er papillomen op het oppervlak van het luchtwegslijmvlies, meestal op of boven de stembanden. In zeld-zame gevallen groeien papillomen in de luchtpijp en de longen. Larynxpapillomatose gedraagt zich erg onvoorspelbaar. De ziekte kan jaren aanhouden, maar kan ook weer spontaan verdwijnen. De onvoorspelbaarheid van de ziekte ligt waarschijnlijk aan de weerstand van de patiënt. Door het grillige karakter van larynx-papillomatose kunnen we weinig zeggen over het beloop van de ziekte.
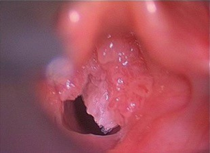
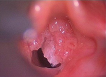
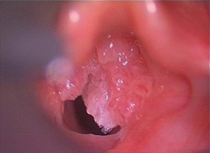
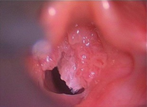
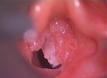
Figuur 2: larynxpapillomatosis op stembanden en in het strottenhoofd
Waar komt larynxpapillomatose voor?
Larynxpapillomatose kan gelokaliseerd zijn rond het strottenhoofd (larynx), het strotklepje (epiglottis) en de stembanden.
Het strottenhoofd
Het strottenhoofd vormt de verbinding tussen de bovenste luchtweg (neus en keel) en de onderste luchtwegen (luchtpijp en longen). Het is opgebouwd uit kraakbeen, spierweefsel en slijmvlies. In het strottenhoofd bevinden zich de stembanden. Het strottenhoofd bestaat uit drie delen, namelijk:
- De glottis, oftewel de stemspleet.
Deze bevindt zich centraal in het strottenhoofd en bevat twee banden van elastisch weefsel, de ware stembanden. - De supraglottis, letterlijk betekent dit ‘boven de stemspleet’.
Dit gebied bevat verschillende weefsels, waaronder de valse stembanden. De supraglottis wordt afgesloten door het strotklepje oftewel de epiglottis. - De subglottis, letterlijk betekent dit ‘onder de stemspleet’.
Dit is het gedeelte van het strottenhoofd dat tussen de stembanden en de luchtpijp ligt.
Het strottenhoofd speelt een erg belangrijke rol bij het produceren van geluid en voorkomt dat er voedsel in de luchtpijp komt.
Het strotklepje
De lucht die we inademen via de neus of de mond komt terecht in de keelholte. Hierna gaat de lucht langs het strotklepje in de luchtpijp en vervolgens naar de longen. Voedsel dat we doorslikken, komt via de keelholte en de slokdarm in de maag. Om te voorkomen dat het voedsel in de luchtpijp komt, wordt de luchtpijp tijdens het slikken afgesloten door het strotklepje.

Figuur 3: I gebied boven de stembanden (supraglottis), II stemspleet (glottis), III gebied onder de stembanden (subglottis). a strottenklepje, b valse stembanden, c ware stembanden, d keelholte, e luchtpijp, f slokdarm
De stembanden
Geluid is het gevolg van een trilling van de stembanden door lucht in het strottenhoofd. Hoe groter de druk waarmee de lucht tussen de stembanden wordt geperst, hoe harder het geluid. De toonhoogte van het geluid wordt bepaald door de frequentie waarmee de stembanden trillen. De trillings-frequentie is afhankelijk van zowel de spanning als de vorm van de stembanden. De stembanden van mannen zijn meestal dikker en langer dan de stembanden van vrouwen, waardoor mannen een lagere trillings-frequentie en een lagere stem hebben.

Figuur 4: a: strotklepje, b: valse stembanden, c: ware stembanden
Indeling van larynxpapillomatose
We maken onderscheid tussen juveniele en volwassen larynxpapillomatose.
We spreken van ‘juveniele larynxpapillomatose’ als deze begint vóór de leeftijd van 18 jaar. De meeste kinderen met juveniele larynxpapillomatose krijgen de ziekte al vóór de leeftijd van 5 jaar.
We spreken van ‘volwassen larynxpapillomatose’ als de ziekte zich na de leeftijd van 18 jaar ontwikkelt. Bij de volwassen papillomatose worden twee leeftijdspieken gezien waarop de ziekte zich het meest manifesteert: rond 35 jaar oud en rond 65 jaar oud.
Daarnaast maken we onderscheid tussen een agressieve en een milde vorm van larynxpapillomatose. Het verschil baseren we op het aantal operaties dat een patiënt moet ondergaan. Als een patiënt meer dan vier operaties in een jaar krijgt, is sprake van een agressieve vorm van larynxpapillomatose.
Klachten
Juveniele larynxpapillomatose begint meestal met heesheid en ademhalingsproblemen, die met name worden veroorzaakt door een vernauwing van de luchtpijp. Overigens is larynx-papillomatose, naast stembandknobbeltjes, de belangrijkste oorzaak van heesheid bij kinderen.
Bij volwassen larynxpapillomatose hebben patiënten met name last van heesheid en veel minder van ademhalingsproblemen. Hoe erg de klachten zijn, hangt sterk af van de plaats van de ziekte. Als de ziekte aanwezig is op de stembanden, dan kan een kleine groei ervan al zorgen voor heesheid.
Bij de milde vorm van larynxpapillomatose nemen de klachten in de loop van de tijd heel langzaam toe en kunnen patiënten jaren rondlopen met papillomen. Bij de agressieve vorm van larynxpapillomatose kunnen de papillomen zeer snel groeien, waardoor klachten in slechts enkele dagen ernstig kunnen toenemen. Het beloop is niet voorspelbaar. Veel patiënten moeten geregeld geopereerd worden.
Oorzaak larynxpapillomatose
Larynxpapillomatose wordt veroorzaakt door een Humaan Papilloma Virus (HPV). Door dit virus ontstaat een niet normale celgroei van de huid en de slijmvliezen. Ook kan dit virus wratjes op de handen, voeten en geslachtsdelen (genitaliën) veroorzaken. De plek waar de wratten zitten, is afhankelijk van het type virus dat iemand heeft. Tot nu toe zijn er meer dan 100 typen van het Humaan Papilloma Virus ontdekt. Larynxpapillomatose wordt meestal veroorzaakt door virus 6 of 11. Deze virussen kunnen ook voor wratjes op de handen, voeten en genitaliën zorgen.
We kunnen pas iets zeggen over hoe larynxpapillomatose zich ontwikkelt als bekend is om welk virus het precies gaat. We bekijken of het gaat om een virus met een ‘high risk’ (hoog risico, type 16 en 18) of een virus met een ‘low risk’ (laag risico, type 6 en 11). Bij het high risk type is de kans op kwaadaardige ontwikkeling iets groter dan bij een low risk type.
Het grootste deel van de patiënten met larynxpapillomatose heeft het virus met een low risk; slechts 1 tot 2 procent van alle patiënten heeft een virus met een high risk. De kans op kwaad-aardige ontwikkeling bij patiënten met larynxpapillomatose is erg klein; slechts bij 1 tot 2 procent van de patiënten is de aandoening kwaadaardig.

Figuur 5: Humaan Papilloma Virus (HPV)
Hoe vaak komt het voor?
Larynxpapillomatose is een weinig voorkomende ziekte. Naar schatting zijn er van de 100.000 mensen ongeveer 4 tot 7 mensen met larynxpapillomatose. Dit zijn in totaal ongeveer 900 patiënten in Nederland. Wel zijn er relatief veel mensen drager van het Humaan Papilloma Virus dat larynxpapillomatose veroorzaakt.
Bij ongeveer 5 procent van de mensen komt het virus voor in de keel. Maar een heel klein aantal mensen met dit virus krijgt larynxpapillomatose. Ieder jaar zijn er ongeveer 50 nieuwe patiënten per jaar in Nederland.
Wie krijgt larynxpapillomatose?
Kinderen hebben een iets grotere kans op larynxpapillomatose als hun moeder bij hun geboorte jonger was dan 20 jaar. Ook de aanwezigheid van genitale wratten bij de moeder is een risico-factor voor kinderen. Maar zelfs als beide risicofactoren aanwezig zijn, is de kans op een kind met larynxpapillomatose minimaal.
De oorzaak van larynxpapillomatose bij volwassenen is vaak veel moeilijker vast te stellen. Larynxpapillomatose kan op vrijwel op elke leeftijd ontstaan, maar wordt vaak rond de leeftijd van 30 jaar ontdekt. Bij volwassenen komt larynxpapillomatose vaker bij mannen voor dan bij vrouwen.
Verloop van de ziekte
Bij de meeste mensen blijft larynxpapillomatose zitten rond de stembanden (in het strotten-hoofd). Bij sommigen ontwikkelt de ziekte zich buiten het strottenhoofd. Zo kan het zich verplaatsen naar de hoger gelegen luchtwegen, zoals het strotklepje. Ook kunnen de lagere luchtwegen geïnfecteerd raken, zoals de luchtpijp en/of de longen. De verspreiding van het virus kan veroorzaakt worden door een beschadiging in het slijmvlies van de luchtwegen, waardoor zich op de plek van de beschadiging een nieuw papilloom vormt. Om verspreiding van het virus zoveel mogelijk te beperken, moeten behandelingen die schade kunnen opleveren aan de luchtwegen vermeden worden.
Er is een kleine kans dat larynxpapillomatose zich verplaatst naar de longen. Papillomatose in de longen is gevaarlijker en minder goed te behandelen. In het begin veroorzaakt larynxpapillo-matose op de longen nauwelijks klachten. Naar verloop van tijd zullen de papillomen groeien en ontstaan er diverse klachten, waaronder mogelijk een longontsteking.
De meeste mensen met larynxpapillomatose hebben weinig behandelingen nodig. Larynxpapillomatose kan niet genezen worden. De behandeling is daarom alleen gericht op het verhelpen of verminderen van de klachten. Sommige mensen met larynxpapillomatose hebben elk jaar meerdere behandelingen nodig. Behandelingen kunnen soms alleen bedoeld zijn om de luchtwegen open te houden.
Na een aantal jaren kan de ziekte zich spontaan herstellen. Dit herstel kan permanent zijn; er worden dan geen papillomen meer gevormd. Het kan ook zijn dat larynxpapillomatose na enkele jaren zonder ziekte toch weer terugkomt. Het Humaan Papilloma Virus zal bij mensen met larynxpapillomatose nooit meer uit de luchtwegen verdwijnen. Het virus is een latent virus. Dat wil zeggen dat het virus aanwezig kan zijn in het lichaam zonder dat larynxpapillomatose ontstaat. Het is onvoorspelbaar of en wanneer de papillomen zich opnieuw zullen ontwikkelen. Daarmee ontstaat voor u een onzekere toekomst. Hoe het bij u zal gaan is niet te voorspellen.
HPV en larynxpapillomatose
Het is niet helemaal duidelijk onder welke omstandigheden het Humaan Papilloma Virus larynxpapillomatose veroorzaakt. De volgende theorieën zijn mogelijk; ze zijn echter nooit bewezen.
- Het Humaan Papilloma Virus wordt geactiveerd door irritatie of door een trauma in de keel, veroorzaakt door irriterende chemische middelen die ingeademd worden, een flinke griep en/of ernstige hoestbuien.
- Het ontstaan van larynxpapillomatose houdt verband met het immuunsysteem (de weerstand) van de mens. Deze theorie stelt dat de meeste mensen over een voldoende sterk immuun-systeem beschikken, waardoor het Humaan Papilloma Virus snel wordt verwijderd. Bij mensen met larynxpapillomatose kan het immuunsysteem het virus niet verwijderen. Omdat deze mensen niet vaker ziek zijn dan mensen zonder larynxpapillomatose, hebben zij wel een goed immuunsysteem. Alleen hun weerstand tegen het Humaan Papilloma Virus is lager.
Factoren die larynxpapillomatose verergeren
De volgende factoren hebben een negatieve invloed op het beloop van larynxpapillomatose:
- Roken en/of fors alcoholgebruik. Beide factoren hebben een grote invloed op de ernst en het beloop van de ziekte.
- Stemmisbruik. Stemmisbruik is het verkeerd gebruiken (bijvoorbeeld te hard) van de stembanden. Het kan er in sommige gevallen voor zorgen dat larynxpapillomatose eerder terugkomt of erger wordt. Ook kunnen irriterende, chemische gassen ervoor zorgen dat het virus terugkomt of erger wordt. Deze gassen zorgen voor een verstoring in het evenwicht van de weefsels die al geïnfecteerd zijn.
- Zwangerschap en grote hormonale veranderingen (puberteit). Deze factoren kunnen soms tot gevolg hebben dat larynxpapillomatose weer terugkomt.
- Maagzuur. Er zijn geen aanwijzingen dat maagzuur invloed heeft op het ontstaan of het beloop van larynxpapillomatose.
Is larynxpapillomatose besmettelijk?
Larynxpapillomatose is niet besmettelijk: de ziekte kan niet van mens op mens worden overgedragen. Kinderen kunnen dus geen larynxpapillomatose krijgen doordat zij met andere kinderen spelen. Ook broers en zussen kunnen de ziekte niet op elkaar overdragen. De ziekte is niet overdraagbaar door seksueel contact. Ten slotte komt het virus niet voor in de bloedbaan of het lymfesysteem, waardoor het ook niet overdraagbaar is via bloedcontact.
Onderzoeken die de KNO-arts verricht
Tijdens uw bezoek aan de polikliniek zal uw KNO-arts een laryngo(strobo)scopie uitvoeren en, als dat nodig is, een microlaryngoscopie plannen.
Laryngo(strobo)scopie
Tijdens een laryngo(strobo)scopie, een onderzoek van het strottenhoofd, wordt vooral de trilling van de stembanden beoordeeld. Zo kan de arts een diagnose stellen over de oorzaak van uw heesheid. Uw keel kan plaatselijk worden verdoofd om hoestprikkels en andere reflexen tegen te gaan. De arts brengt de stroboscoop in tot boven het strottenhoofd (via de mond of de neus). Als u spreekt, ziet de arts de stembanden trillen. Tijdens de stroboscopie kan de arts foto’s maken van de aandoening, zodat hij of zij kan bepalen of er verbetering of verslechtering is.

Figuur 6: laryngo(strobo)scopie

Figuur 7: laryngo(strobo)scopie
Microlaryngoscopie
Microlaryngoscopie wordt uitgevoerd als er tijdens de laryngo(strobo)scopie afwijkingen zijn gevonden waarvoor behandeling noodzakelijk is, of wanneer bij poliklinisch onderzoek geen duidelijke diagnose kan worden gesteld. Tijdens microlaryngoscopie worden de stembanden behandeld met behulp van een operatiemicroscoop. Dit gebeurt tijdens een opname in het ziekenhuis onder narcose. Als er nog onduidelijkheid bestaat over de diagnose, dan wordt er een stukje weefsel uit het papilloom weggenomen (biopt). Dit stukje weefsel wordt door de patholoog (onderzoeker van weefsel) onderzocht. Hij of zij kijkt of de cellen van het weefsel overeenkomen met de cellen die te vinden zijn bij larynx-papillomatose. Ook kijkt hij of het Humaan Papilloma Virus in het weefsel aanwezig is.

Figuur 8: microlaryngoscopie
Behandeling Larynxpapillomatose
Omdat larynxpapillomatose niet genezen kan worden, is de behandeling alleen gericht op het verhelpen of verlichten van de klachten als gevolg van de ziekte. Er zijn verschillende behandelingen mogelijk. Op dit moment kiezen we meestal voor chirurgie onder narcose. Chirurgie kan plaatsvinden met een CO2-laser of een shaver. Wereldwijd wordt er veel onderzoek gedaan naar andere mogelijke behandelingen.
CO2-laser
Chirurgie met een CO2-laser gebeurt op de operatiekamer (OK) onder algehele anesthesie. Tijdens deze behandeling wordt er een bundel geconcentreerd licht gericht op het chirurgisch te behandelen doel. Zo kunnen de papillomen worden verwijderd, terwijl het risico op schade van het overige weefsel minimaal is. Alleen ervaren artsen voeren de behandeling uit. Met de CO2-laser worden de eventuele bloedingen direct weggebrand, waardoor tijdens de operatie niet meer dan een paar druppels bloed vloeien.
Shaver
De shaver, oftewel de microdebrider, is een ronddraaiend mesje met een afzuigapparaat. De shaver verwijdert de papillomen door ze weg te zuigen. Deze behandeling duurt korter dan de behandeling met de CO2-laser. Bij de behandeling met de shaver kan het wat vaker wat bloeden. De shaver wordt vaker gebruikt als de papillomen op meerdere plekken in het strottenhoofd aanwezig zijn.

Figuur 9: de shaver of microdebrider
De chirurg probeert alle papillomen te verwijderen. Als de verwijdering van specifieke papillomen een gevaar oplevert voor de stembandfunctie, dan worden deze niet verwijderd.
Wanneer de papillomen aan de voorkant van beide stembanden zitten, dan wordt vaak slechts één stemband behandeld. Als beide stembanden tegelijk behandeld worden, kunnen beide wonden tijdens de genezing tegen elkaar aan genezen, waardoor de stembanden aan elkaar vastgroeien. Omdat de stembanden dan niet goed kunnen trillen, ontstaat er een minder goed stemgeluid. Bij het maken van veel of grote wonden is de kans op terugkeer van larynxpapillomatose groter, omdat papillomen groeien op plaatsen die verwond zijn. Dit risico wordt met CO2-laser kleiner gemaakt.

Figuur 10: papilloom voor laserbehandeling

Figuur 11: na laserbehandeling geen papilloom meer zichtbaar
Herstel
Het genezingsproces verloopt per persoon verschillend. U wordt geadviseerd om na de operatie ongeveer 2 tot 3 dagen niet te praten. Als praten u na een aantal dagen nog steeds erg veel moeite kost, kan het helpen om uw stem extra rust te geven. Zorg ervoor dat u uw stem niet te veel belast. Het beste resultaat is meestal pas na een aantal weken te bepalen, al hebben sommige patiënten na een paar dagen alweer een goede stemfunctie.
Aanvullende behandelingen
Anti-reflux therapie
Een relatie tussen maagzuur (reflux) en de ernst van larynxpapillomatosis is niet aangetoond. Alleen als u last heeft van maagzuur, worden eventueel specifieke medicijnen (proton-pompremmers, zoals omeprazol) voorgeschreven, naast leefstijladviezen.
Cidofovir
Cidofovir is een antiviraal middel. De effectiviteit bij larynxpapillomatose is niet goed vastgesteld ondanks langdurig onderzoek. Het werd ingespoten in de papillomen onder algehele anesthesie. Cidofovir werkte waarschijnlijk alleen als het in een korte periode meerdere keren werd ingespoten. Cidofovir is in Nederland niet meer beschikbaar.
Indole-3-Carbinol (I3C)
I3C is een voedingssupplement. Het zit vooral in de groenten broccoli, bloemkool, spruitjes en kool. I3C gaat de celgroei door het vrouwelijke hormoon oestrogeen tegen. Onderzoek bij muizen heeft aangetoond dat I3C de groei van de papillomen remt. Het medicijn heeft waarschijnlijk nauwelijks bijwerkingen maar er is onvoldoende bewijs van effectiviteit.
Interferon
Interferon is een antiviraal middel. Het medicijn remt de celgroei van de papillomen, stimuleert het immuunsysteem en remt het Humaan Papilloma Virus. Interferon heeft veel bijwerkingen, waaronder griepachtige verschijnselen. Als de therapie wordt gestopt, komen de papillomen weer terug, soms zelfs erger dan voorheen. Daarom wordt Interferon niet of nauwelijks meer gebruikt als aanvullende therapie.
Bevacizumab
Bevacizumab is een relatief nieuw middel dat de groei van bloedvaatjes remt. Op die manier moet het de groei en verspreiding van papillomen vertragen. Het kan HPV niet genezen. Er zijn gunstige resultaten van beschreven, alleen moet het effect op de langere termijn nog worden onderzocht. Bevacizumab wordt als infuusbehandeling tijdens een dagopname gegeven. Het wordt op dit moment alleen toegepast bij patiënten die in een lange periode meerdere keren onder narcose moeten.
Preventie van larynxpapillomatose
Omdat larynxpapillomatose nog niet genezen kan worden, is onderzoek naar de preventie van de ziekte erg belangrijk. Op dit moment is het vaccin Gardasil-9 beschikbaar ter voorkoming van HPV-infecties. Het beschermt vooral tegen virustypes 6, 11, 16 en 18, de types die ook genitale wratjes veroorzaken. Doordat het vaccin voorkomt dat zich genitale wratjes vormen, kan de patiënt niet met het Humaan Papilloma Virus worden geïnfecteerd. Het vaccin kan worden gegeven aan personen die nog niet besmet zijn met het virus. Er is geen bewijs dat vaccinatie met Gardasil effectief is in de behandeling van larynxpapillomatosis, al zijn er gevallen beschreven met een gunstig beloop na vaccinatie. De beschermingsduur is levenslang.
Gardasil wordt niet vergoed door zorgverzekeraars en kost ongeveer € 400,-.
