Er zijn diverse redenen om het oog operatief te verwijderen: er kan sprake zijn van een kwaadaardige tumor in het oog, een pijnlijk blind oog, of een cosmetisch ontsierend blind oog. Het bericht dat bij u een oog verwijderd moet worden, is slecht nieuws. Het is daarom verstandig als uw partner, familielid of een goede vriend(in) aanwezig is bij het gesprek met uw oogarts. U kunt dan naderhand thuis met die persoon de zaken nog eens op een rijtje zetten.
Enucleatie/ evisceratie
Als het oog in zijn geheel verwijderd wordt, heet de ingreep enucleatie. Als de inhoud van het oog verwijderd wordt, noemen we de ingreep evisceratie. De beslissing voor een operatie wordt genomen in overleg met uw oogartsen als er geen andere behandelopties (meer) zijn.
Wat is belangrijk vóór de ingreep?
- Wanneer u bloedverdunners gebruikt, zoals marcoumar of sintrom, hoort u van de operateur of u hier tijdelijk mee moet stoppen. Uw operateur overlegt met uw huisarts of cardioloog (of degene die het medicijn heeft voorgeschreven) en/of met de trombosedienst.
- Gebruik bij voorkeur, gedurende een week voorafgaand aan de ingreep en een week daarna, geen medicijnen, die de bloedstolling beïnvloeden, zoals aspirine, ascal, persantin, ibuprofen. Neem bij pijnklachten paracetamol. Bij twijfel: overleg met ons of uw huisarts.
- Neem maatregelen voor uw huishouden, zodat u direct na de ingreep niet van alles moet doen.
- Zorg dat u na de ingreep twee weken niet hoeft te werken.
- Zorg dat u paracetamol en gaasjes (10 x 10) in huis heeft.
- Plan alvast een afspraak bij de ocularist/prothesemaker (adressen zie achterin deze folder).
Hoe gaat de operatie?
De arts verwijdert uw oogbol in zijn geheel (enucleatie) of verwijdert de inhoud van uw oog, waarbij het witte omhulsel achter blijft (evisceratie).- Meestal wordt in de oogkas een implantaat achtergelaten (zie figuur 1). Dit is ter opvulling en om een mooi cosmetisch resultaat te krijgen. Het implantaat is vaak van acryl en wordt bedekt met uw eigen oogwit of dat van een donor. De arts hecht het implantaat vast aan uw eigen oogspieren. Soms brengt de arts vet van uw buik of uw billen in de holte aan.
Figuur I: implantaat
De arts sluit het bindvlies met oplosbaar hechtdraad. Op het bindvlies wordt een schaaltje geplaatst (het zogenaamde Illig-schaaltje of aangepaste conformer, zie figuur 2), dat later wordt vervangen door een prothese (kunstoog).- Daarover komt een drukkend verband, of een tijdelijke hechting van het bovenooglid naar het onderooglid. Het drukverband moet u 48 uur laten zitten.
Figuur II:plastic schaaltje
Na genezing heeft de oogholte de zelfde kleur als de binnenkant van uw mond.- Na ongeveer 4-6 weken kan de prothesioloog of ocularist in deze ruimte een kunstoog aanmeten. Omdat het implantaat met uw oogspieren bewogen kan worden, draait uw kunstoog enigszins mee. Hiervoor kunt u van te voren een afspraak inplannen bij de ocularist (zie de lijst op pagina 11).
- De hechtingen lossen vanzelf op.
Wat is belangrijk na de ingreep?
- Houd de wond zo droog mogelijk. Douchen mag, zolang de wond niet nat wordt. U mag de eerste drie weken niet zwemmen.
Figuur III: doorsnede van de oogkas na de operatie
- Start uw antistollingstherapie na de operatie in overleg met uw operateur.
- Gebruik oogdruppeltjes/gels/zalf zoals aangegeven op het recept.
- Neem een extra kussen bij het slapen en ga niet op de zij van het geopereerde oog liggen.
Wat is normaal na de operatie?
- De eerste 24 tot 48 uur kunt u tamelijk veel pijn hebben. Laat weten aan de verpleegkundige of u pijn hebt en de dokter zal krachtige pijnstillers voorschrijven.
- U kunt blauwe, gezwollen oogleden hebben tijdens de eerste twee weken na de operatie.
- Door zwelling en eventueel een nabloeding kan het plastic Illig-schaaltje uit de oogholte vallen. In dit geval is het verstandig het schaaltje door de oogarts te laten terugplaatsen.
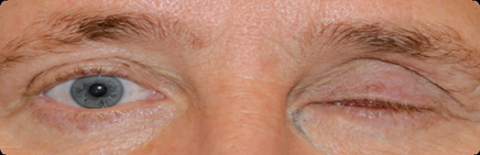
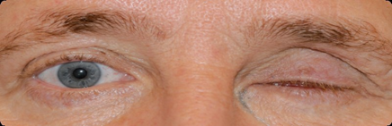
- Het geopereerde oog zit doorgaans dicht als er nog geen oogprothese in zit (zie figuur 4).
- Bij het openen van het oog is een met slijmvlies bedekte ruimte zichtbaar (zie figuur 5).
Figuur V: bij het openen van het oog is een met slijmvlies bedekte ruimte zichtbaar.
Figuur IV: het geopereerde oog zit doorgaans dicht als er nog geen oogprothese in zit.
Wat zijn mogelijke complicaties?
- Het implantaat kan worden uitgestoten. De kans is ongeveer 5 procent. U merkt dat het gedeeltelijk bloot komt te liggen. Meestal treedt er veel afscheiding bij op.
- Afscheiding, in enige mate is dit normaal. Overleg eventueel met uw oogarts.
- Krimpen van de oogkas. Zeldzame complicatie. Treedt soms op wanneer er veel oogkasoperaties zijn verricht.
- Aanhoudende pijn. Als u voor de operatie al veel pijn had, is er een kans van 5 procent dat deze pijnklachten blijven bestaan. In dit geval zullen wij u doorverwijzen naar een zogenaamd pijnteam.
De oogprothese (kunstoog)
- Doorgaans is de wond na 4 tot 6 weken dusdanig genezen dat een oogprothese kan worden aangemeten. Dat gebeurt door een ocularist. In Nederland zijn vier ocularistpraktijken.
- Het vervaardigen van een oogprothese is een delicate aangelegenheid die jarenlange ervaring vereist. De kleur van de prothese moet immers zoveel mogelijk lijken op het echte oog. Ook de pasvorm is belangrijk. Zowel de kleur als de vorm is per persoon verschillend.
- Als de pasvorm correct is, volgt de oogprothese de oogbewegingen van het gezonde oog, hoewel dat beperkt blijft tot de kleinere oogbewegingen.
- Oogprothesen worden van glas of van kunststof gemaakt. Beide vormen kennen voor- en nadelen. Zo is een glazen oogprothese bijvoorbeeld vrij snel klaar. De glazen prothese kan echter niet tussendoor worden aangepast. Een glazen oogprothese is breekbaar en kan koud aanvoelen in de winter.
- Op elke oogprothese ontstaat na enige tijd aanslag. De prothese ziet er dan dof uit en kan dan voor irritatie zorgen. De glazen prothese moet in dit geval worden vervangen. De verzekering vergoedt doorgaans eens per twee jaar een nieuwe prothese.
- De kunststof prothese kan na de eerste passing waar nodig worden aangepast. Een kunststof prothese is stevig en kan lang mee gaan. Aanslag op de prothese kan gepolijst worden.


Figuur VI: verschillende oogprothesen
Figuur VII: een oogprothese
Vragen?
Mocht u vragen hebben of klachten ervaren die we hiervoor beschreven hebben, neemt u dan contact met ons op.
Contactgegevens polikliniek Oogheelkunde
|
Locatie |
Telefoon (tijdens kantooruren) |
Telefoon (buiten kantooruren) |
E-mailadres |
|
|
VUmc |
Receptie R, |
020 444 1170 |
020 444 4444 |
oogheelkunde@amsterdamumc.nl (niet-spoedeisende zaken) |
|
AMC |
Receptie A2, |
020 566 3100 |
020 566 9111 |
idem |
|
Operatieplanning Amsterdam UMC |
020 444 1170 |
n.v.t |
oogoperatie@amsterdamumc.nl (niet-spoedeisende zaken) |
|
Adressen
Voor een kunststof oogprothese
Ocularist Jelmer Remmers
T: 06 2347 6402
Frédérique Bak
T: (070) 449 0810
Haags Kunstogen Laboratorium (Axel Franken)
T: (070) 345 1293
Voor glazen oogprothesen
F. Ad. Müller Söhne
T: (035) 695 03 84
E: nl@muellersoehne.com

