In samenspraak met uw orthopedisch chirurg heeft u besloten een operatie aan de voet van uw kind te laten uitvoeren. De operatie is bedoeld om de platvoet te corrigeren en zo de klachten te verminderen/de voet beter schoeibaar te maken. Uw kind wordt voor deze operatie 2 a 3 dagen opgenomen op de kinderafdeling van het Amsterdam UMC. In deze folder staat informatie over de operatie. Heeft u nog vragen na het lezen van deze folder, stel deze dan gerust aan uw behandelend arts.
Operatie
Bij de operatie worden meerdere “kleine” operaties gedaan aan dezelfde voet. Bij een soepele knikplatvoet (FFF, flexible flat foot) zijn er een aantal afwijkingen die we corrigeren. Doel is om de voet beter in balans te krijgen en in een positie waarin deze beter kan worden belast en geschoeid.
Calcaneus Verlenging
Hierbij wordt de calcaneus (het hielbot) doorgezaagd en verlengd. Hierdoor wordt de buiten-zijde van de voet teruggeplaatst richting de “normale” positie. De ruimte die ontstaat wordt opgevuld met donorbot. Een alternatief kan zijn om het op te vullen met eigen bot uit de bekkenkam.

Figuur 1: Voorbeeld van een calcaneus verlenging. Op het linker plaatje zien we het litteken (zwarte streep). Superficial peroneal nerve = oppervlakkige huidzenuw. Lateral malleolus = buitenknok. Sural nerve = oppervlakkige huidzenuw. Calcaneal beak=voorste punt van het hielbot. Op het middelste plaatje zien het donorbot wat in het hielbot wordt geplaatst. Het rechter plaatje geeft een schematische weergave.
Achillespees verlenging
Bij een knikplatvoet die klachten veroorzaakt is bijna altijd sprake van een te korte achillespees. Als de pees te kort is (dit bepaalt de orthopedisch chirurg tijdens het lichamelijk onderzoek), dan zal deze tijdens de operatie worden verlengd. Meestal lukt dat door 3 kleine scheurtjes te maken in de pees, waarna deze wat langer kan worden gemaakt.

Figuur 2: Achillespees verlenging. We kijken naar de achterzijde van de enkel/hiel. De 3 groene streepjes zijn de scheurtjes in de Achillespees.
Mediale Augmentatie
Aan de binnenzijde van de voet knikt deze. De spier die hier loopt (de tibialis posterior) is uitgerekt, net als het kapsel eronder. Tijdens de operatie worden zowel de pees als het kapsel ingekort/strakker gemaakt.

Figuur 3: Op het linker plaatje zien we de tibialis posterior pees. Het getekende stippellijntje heeft de vorm van een Z. Met deze techniek (Z-plastiek) kan de pees worden ingekort. Het rechter plaatje laat het kapsel zien. Hier wordt een reepje (tussen de stippellijnen) verwijderd en weer (strakker) gehecht.
Plaatsen K draad in CC gewricht
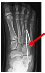
Omdat het hielbot wordt verlengd komt het gewrichtje tussen de calcaneus (hielbot) en os cuboideum (teerling botje) onder spanning te staan. Om die reden wordt een ijzeren pinnetje (K draad) geplaats zodat dit gewrichtje niet uit de om gaat. Het draadje zal 6 weken blijven zitten en wordt tijdens een gipswissel op 6 weken na de operatie verwijderd.

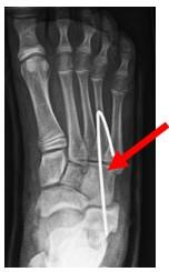
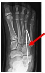
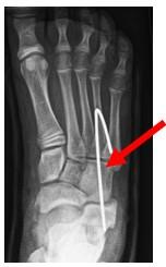
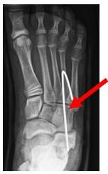
Figuur 4: Röntgenfoto van de voet waarbij we zien dat de K draad (De witte lijn aan het einde vd pijl) in het CC gewrichtje is geplaatst.
Flecterende osteotomie cuneiforme mediale
Tijdens de operatie wordt duidelijk of de draaiing in de voet gecorrigeerd is. Als dat niet zo is wordt ook nog een wigje (donorbot) geplaatst op de voetrug, bij de overgang naar de grote teen. Hierdoor komt de grote teen verder naar de grond en wordt de voetboog nog verder gecorrigeerd / genormaliseerd.

Figuur 5: Medial cuneiform osteotomy. Deze pijl wijst naar de plaats waar het botje wordt doorgezaagd. Er wordt een wigvormig stukje donorbot in geplaatst waardoor de grote teen wat omlaag wordt gedrukt.
Redenen om de operatie uit te voeren
De belangrijkste reden om de operatie te doen is verminderen van pijnklachten als gevolg van de platvoet. Soms zijn er drukplekken of blaren die hinderlijk zijn en kan het dragen van schoenen ook lastig zijn. Door de positie van de voet meer richting normaal terug te brengen verwachten we de klachten te verminderen.
Voorbereidingen voor de opname
Nadat u met uw kind voor vooronderzoek bij de anesthesioloog (narcose dokter) bent geweest en een operatiedatum weet, is het handig om thuis wat zaken voor te bereiden voor de opname. Dit is nodig omdat uw kind na de operatie 12 weken in het gips zit en daardoor met een loophulp-middel moet lopen of met een rolstoel moet verplaatsen. Van deze 12 weken mag uw kind de eerste 8 weken de voet niet belasten.
Het is raadzaam 1 week voor de opname in ieder geval de noodzakelijke hulpmiddelen te regelen. Dit kan bij een thuiszorgwinkel bij u in de buurt.
Noodzakelijke hulpmiddelen
- 2 elleboogkrukken ( neem deze krukken mee naar het ziekenhuis).
- Een losse stoel om onder de douche te zetten.
- Een douchezak om over het gips te doen.
- Een rolstoel.
Zorg verder voor
- Een voetenbank, zodat uw kind met het geopereerde been omhoog kan zitten.
- Geen losse kleedjes op de vloer
- Een antislipmat in de badkamer
Overig
Soms zijn er nog andere zaken nodig om tevoren te regelen. Denk bijvoorbeeld aan vervoer naar school en in school.
De operatie
De operatie zelf duurt ongeveer 120-150 minuten. Uw kind wordt eerst van de verpleegafdeling naar de verkoeverruimte (uitslaapkamer) gebracht. Daar ziet u onder andere de anesthesioloog. Na een check brengt deze u en uw kind naar de operatiekamer. Daar is de chirurg aanwezig en nog een aantal andere personen die helpen bij de operatie. Als uw kind slaapt wordt u weer teruggebracht richting verkoeverkamer/verpleegafdeling.
Als uw kind weer op de verkoever kamer ligt en stabiel is wordt u er weer zo snel mogelijk naar toe gebracht. Na de operatie spreekt u de arts en hoort u hoe de operatie is gegaan.
Uw kind kan na de operatie starten met het aanspannen en ontspannen van de beenspieren en het wiebelen van de tenen. Dit helpt tegen de zwelling van het been en vermindert de kans op trombose (een aandoening waarbij er bloedstolsels gevormd worden in de bloedvaten).
Pijnstilling
Uw kind krijgt medicijnen om de pijn onder controle te krijgen. Dit gaat in overleg met de anaesthesioloog en in samenspraak met u.
Antistolling
Na de operatie krijgt uw kind tijdens de opname vaak een injectie met een bloedverdunnend middel (Fraxiparine). Dit is om trombose (stolsel in de bloedvaten) te voorkomen. Soms is er een indicatie om de bloedverdunner te gebruiken gedurende 6 weken na operatie. Dan heeft het de voorkeur om dit in tabletvorm te doen.
De eerste dag na de operatie
In principe komt ’s morgens de orthopaedisch chirurg en een arts-assistent bij uw kind langs en bespreekt hoe het gaat. Heeft u vragen: stel deze dan gerust. Er wordt soms, voordat uw kind naar huis gaat, een röntgenfoto gemaakt van de geopereerde voet en meestal wordt ook het gips gewisseld.
Fysiotherapie
De fysiotherapeut komt uw kind begeleiden bij het uit bed gaan. Ook geeft de fysiotherapeut instructies voor het lopen met krukken (of looprek). Als uw kind thuis moet traplopen, leert de fysiotherapeut om dit veilig te doen. Het kan zinvol zijn om dit voor de operatie al te oefenen met een fysiotherapeut in uw woonplaats, zodat de revalidatie sneller gaat.
Uw kind mag gedurende 8 weken niet het geopereerde been belasten. De laatste 4 weken wel.
De overige dagen na de operatie
De verpleegkundigen helpen - waar nodig - bij de lichamelijke verzorging. Daarnaast verricht de verpleegkundige de nodige lichamelijke controles. De orthopedisch chirurg en/of arts-assistent komt in principe dagelijks langs om te vragen hoe het gaat, alsmede om vragen te beantwoorden.
Ontslag
Om na de opname naar huis te kunnen is het belangrijk dat:
- Uw kind veilig kan mobiliseren. Eventueel met uw hulp. Idealiter met krukken, anders met een rolstoel.
- De pijn onder controle is met “orale” pijnstilling (tabletten/drankje).
Afspraken
Bij het ontslag krijgt u 1 afspraak mee, deze vindt meestal plaats ongeveer 6 weken na de
operatie. Soms is het nodig om 1-2 weken na de operatie het gips nog een extra keer te wisselen. U ziet dan in principe alleen een gipsverbandmeester.
De volgende afspraken zijn gebruikelijk:
- 6 weken na de operatie: dan wordt de K draad (het ijzeren pinnetje) verwijderd.
- 12 weken na de operatie: dan wordt het gips verwijderd en maken we een röntgenfoto.
- 16-20 weken na de operatie.
Complicaties/gevolgen
Ondanks alle voorzorgen blijft er een (kleine) kans op de volgende complicaties en gevolgen bestaan:
- Nabloeding (meestal in de eerste 24 uur).
- Trombose. Aanspannen van de beenspieren vermindert de kans op trombose. Bij oudere kinderen kan het advies zijn om dagelijks een injectie te geven aan uw kind met een bloedverdunnend medicijn om de kans op trombose te verkleinen
- Wondinfectie. Een infectie kenmerkt zich door roodheid, pijn, zwelling en soms koorts.
- Drukplekken ten gevolge van het gips. Neem bij pijn en tintelingen altijd contact op met de gipskamer.
- Zenuwbeschadiging. Gevoelsverlies in de voet (minder dan 1 % kans). Vaak herstelt dit spontaan binnen een jaar. Het betreft dan meestal een doof gevoel aan de buitenzijde van de voet.
- Krachtsverlies. Door verlenging van spieren kan de kracht minder worden. Meestal is dit weer goed te verhelpen met hulp van fysiotherapie.
- Het kan zijn dat de botdelen langzamer dan verwacht aan elkaar groeien. Het herstel duurt dan langer en soms is een tweede operatie nodig. Dit is uitzonderlijk.
- Het kan zijn dat er na de operatie pijnklachten blijven bestaan, of andere pijnklachten ontstaan. Gelukkig is ook dit veruit in de meeste gevallen niet zo.
- CRPS (complex regionaal pijn syndroom). Dit is een ontregeling van de zenuwen waarbij de voet van kleur, temperatuur en haargroei kan veranderen. Er kan zwelling en pijn optreden. Dit is een vervelende maar uiterst zeldzame complicatie van een operatie.
Aandachtspunten bij en na ontslag
Contact met ziekenhuis
Bij ernstige roodheid, (toename van) wondlekkage, zwelling, pijn, aanhoudend kloppend gevoel, tintelingen in de voet/tenen of koorts (boven 38˚C) neemt u contact op met het ziekenhuis.
020 566 91 11 vragen naar dienstdoende van de afdeling Orthopedie.
020 566 22 96 Gipskamer.
Benen bewegen
Het regelmatig aanspannen en ontspannen van de beenspieren en het wiebelen van de tenen helpt tegen zwelling van het been en vermindert de kans op trombose.
Wanneer uw kind gaat lopen, zult u merken dat de zwelling in het geopereerde been iets toeneemt. Dit komt omdat het wondvocht dan naar de voet zakt. Dit is normaal na een operatie. Het is goed om regelmatig met het geopereerde been omhoog te zitten.
Medicijnen
Bij het ontslag krijgt u een recept mee voor pijnstilling en soms ook voor antistolling (bloedverdunners). U kunt de medicijnen zelf – laten – halen bij uw eigen apotheek.
Uw kind neemt de medicatie op een vast tijdstip in. Verspreid de inname van de pijnstillers over 24 uur, bijvoorbeeld 3 keer per dag elke 8 uur. U mag de pijnmedicatie zelf verlagen als de pijn afneemt.
Hervatting bezigheden
Overleg tijdens de controleafspraak met uw behandelend arts wanneer uw kind school en/of sport weer kan hervatten. De verwachting is dat op zijn vroegst 6 maanden na de operatie weer kan worden gesport/meegedaan met gymnastiek.
De periode na het gips kan begeleiding door een fysiotherapeut heel zinvol zijn. De fysiotherapeut kan helpen in het opbouwen van een normaal looppatroon en spierkracht en balans. Als kracht en balans optimaal zijn kan een geleidelijke terugkeer naar sport plaatsvinden. Ook hier is begeleiding door de fysiotherapeut vaak zinvol.