De behandeling met ventielen 2
Uitkomsten van de behandeling met ventielen 5
Complicaties gerelateerd aan de behandeling met ventielen - korte termijn 6
Complicaties gerelateerd aan de behandeling met ventielen - lange termijn 7
Alternatieven voor een behandeling met ventielen 8
Opname in Amsterdam UMC, locatie VUmc 8
Na de behandeling met ventielen 9
Mogelijke klachten na de behandeling 9
Wanneer neemt u contact op? 10
Leefregels na ontslag bij een klaplong 11
Controle-visites in Amsterdam UMC, locatie VUmc 11
Algemeen
Longemfyseem
Longblaasjes zorgen voor de uitwisseling van zuurstof en koolstofdioxide, ons ‘uitlaatgas’. Bij longemfyseem gaan er steeds meer longblaasjes stuk. De wanden van de longblaasjes raken zo beschadigd dat ze niet meer goed werken. Longblaasjes die zijn beschadigd, kunnen niet meer herstellen. Zonder longblaasjes is het moeilijker om zuurstof op te nemen. Patiënten met ernstig emfyseem zijn als gevolg van kortademigheid ernstig beperkt in al hun dagelijkse activiteiten.
Behandelmogelijkheden voor longemfyseem
De huidige behandelmogelijkheden zijn: stoppen met roken, optimale medicatie, goede voeding, longrevalidatie en mogelijk zuurstof. Voor een kleine groep patiënten is de behandeling met ventielen, een longtransplantatie, longvolumereductie-chirurgie of non-invasieve beademing
(NIV) een mogelijkheid. De behandeling met ventielen wordt sinds eind 2017 vergoed door de zorgverzekeraars, alleen in daartoe gespecialiseerde ziekenhuizen.
De behandeling met ventielen
De behandeling met ventielen wordt uitgevoerd met behulp van een bronchoscoop. Een bronchoscoop is een dun slangetje met daarin een kleine camera die in de luchtwegen gebracht kan worden. Er vindt dus geen operatie plaats. De bronchoscopie zal plaatsvinden onder narcose.
Werking behandeling met ventielen
Door het plaatsen van ventielen, wordt het meest aangedane longdeel (kwab) afgesloten, hierdoor zal het ‘restvolume’ (dit is de hoeveelheid lucht in de longen welke u niet gebruikt) kleiner worden, waardoor het ‘bruikbare’ longvolume groter wordt. Deze afname van het ‘restvolume’ kan in patiënten met emfyseem leiden tot een afname van de kortademigheid en verbeteringen van de longfunctie, het inspanningsvermogen en kwaliteit van leven.

De ventielen zijn gemaakt van nikkel-titanium met een laagje siliconen, wat over het algemeen goed verdragen wordt door het lichaam. Aan het uiteinde zit een siliconen ventiel, die bij inademen gesloten blijft en bij uitademen open gaat en daardoor lucht en slijm naar buiten laat gaan. Doordat lucht uit de longkwab gaat, maar er geen lucht in kan gaan, zal de longkwab kleiner worden.
Inademing: dicht ventiel
Uitademing: open ventiel
Welke kwab wordt afgesloten
De longen bestaan uit 5 delen, ook wel (long)kwabben. De rechter long bestaat uit 3 kwabben; de bovenkwab, de middenkwab en de onderkwab. De linkerlong bestaat uit twee delen: de bovenkwab en de onderkwab. Door het plaatsen van de ventielen wordt de kwab veel kleiner, de overgebleven kwabben zullen iets groter worden om de ruimte in de borstkas op te vullen. Het is niet mogelijk om meerdere kwabben af te sluiten omdat de ruimte in de borstkas dan niet voldoende opgevuld kan worden door de overgebleven kwabben. Hierdoor wordt de kans op een klaplong veel groter. Daarnaast moet er voldoende longweefsel overblijven om zuurstof uit de lucht op te kunnen nemen in het bloed.
De enige uitzondering hierop is dat in sommige gevallen naast de rechter bovenkwab ook de rechter middenkwab erbij afgesloten wordt. Op basis van de CT scan wordt nagegaan welke kwab afgesloten wordt. De longarts van Amsterdam UMC zal met u bespreken welke kwab bij u geschikt is voor de behandeling met ventielen.
Lekkage tussen kwabben
Op een CT-scan is na te gaan of de scheidingslijn tussen de behandelkwab en aangrenzende kwab intact is, bij circa 2 van de 3 mensen zit een opening in deze scheidingslijn. Deze opening zit er al vanaf de geboorte. Als de opening vrij groot is er kan lucht doorheen stromen (lekkage), en dan kan de behandelkwab nooit kleiner worden, omdat er dan lucht vanuit de aangrenzende kwab in de behandelkwab blijft stromen. We zullen tijdens de bronchoscopie, voorafgaand aan de plaatsing van de ventielen ook meten (Chartis-meting) of er daadwerkelijk geen lekkage is. De behandeling met ventielen is alleen effectief indien er geen lekkage is tussen de behandelkwab en de aangrenzende kwab.
Meting van lekkage tussen kwabben
Voordat de ventielen geplaatst worden, zal er eerst gemeten worden of er geen lekkage is tussen de behandelkwab en de aangrenzende kwab. Dit wordt gemeten tijdens een bronchoscopie met het ‘Chartis-systeem’. De meting duurt circa 15 minuten.
Tijdens de bronchoscopie wordt er een katheter met aan het uiteinde een ballon geplaatst in de ingang van de behandelkwab. De katheter is aangesloten aan een meetapparaat die de luchtstroom meet. De ballon wordt opgeblazen, waardoor er geen lucht meer in de behandelkwab kan gaan. Via de katheter kan er nog wel lucht uit de behandelkwab stromen. Indien er geen lekkage is , zal de luchtstroom uit de behandelkwab binnen circa 6 minuten afnemen en uiteindelijk helemaal stoppen. Indien er wel lekkage is dan zal er continue luchtstroom uit de katheter komen.
- Indien er wel lekkage is tussen de behandelkwab en aangrenzende kwab dan worden er geen ventielen geplaatst.
- Indien er geen lekkage is tussen de behandelkwab en aangrenzende kwab dan worden de ventielen geplaatst.
Plaatsing van de ventielen
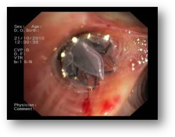
De ventielen worden tijdens dezelfde bronchoscopie direct na de Chartis-meting geplaatst. Met behulp van een katheter worden de ventielen geplaatst in de ingang van de te behandelen longkwab. Er worden circa 4 ventielen geplaatst, afhankelijk van de bouw van de luchtwegen. De hoeveelheid ventielen heeft geen relatie met het uiteindelijke effect en de complicaties. De plaatsing duurt circa 15 minuten.

In dit plaatje hierboven zijn in de ingang van de behandelkwab totaal 3 ventielen geplaatst. In het plaatje hieronder wordt stap voor stap weergegeven hoe een ventiel geplaatst wordt in een luchtwegtakje.

Uitkomsten van de behandeling met ventielen
In de tabel hieronder staan de resultaten en complicaties in het eerste jaar na de behandeling met ventielen en deze worden vergeleken met een groep die de behandeling niet heeft ondergaan maar wel optimaal behandeld wordt voor emfyseem.

Complicaties gerelateerd aan de narcose
De anesthesioloog zal tijdens het consult alle risico’s met u bespreken. Risico's in verband met de narcose, zijn onder andere allergische reactie op de medicatie, misselijkheid of braken, hoofdpijn, pijn in de keel vanwege het beademingsbuisje, pijn of blauwe plekken op de plaats waar het infuus in uw arm wordt gebracht, wazig of dubbel zien, koorts en ademhalingsproblemen.
Complicaties gerelateerd aan de bronchoscopie
De risico's van een routinematige bronchoscopie worden in het algemeen als zeer laag beschouwd. Voorkomende complicaties zijn o.a. bloeden, infectie, koorts, bronchospasme (samentrekking van de spieren in de longwand), laryngospasme (samentrekking van de spieren in de keel), hypoxie (laag zuurstofgehalte in het bloed), aritmie (abnormale hartslag), keelpijn of droge keel en lippen, lage of hoge bloeddruk, klaplong, perforatie (gaatje) van de long en mogelijk overlijden.
Complicaties gerelateerd aan de Chartis-meting
Het risico op ernstige problemen met het Chartis-systeem wordt als zeer laag beschouwd. Bijkomende risico's die mogelijk door de Chartis-katheter worden veroorzaakt zijn o.a. perforatie (gaatje) in de luchtweg, infectie of koorts, verergering van COPD (toename van symptomen als u COPD hebt) en bloeden of irritatie op de plek in de luchtweg waar de ballon wordt gevuld.
Complicaties gerelateerd aan de behandeling met ventielen - korte termijn
Als gevolg van de plaatsing van ventielen, is de verwachting dat de behandelde kwab kleiner gaat worden. Dit kleiner worden van de long kan gepaard gaan met pijn tijdens de ademhaling, een pijnlijk gevoel op de borst, hoestklachten en tijdelijk meer kortademigheid. Ook kan het voorkomen dat u een aantal dagen een heel klein beetje bloed in uw sputum aantreft. Ook kan ten gevolge van het kleiner worden van de behandelkwab kan een klaplong ontstaan.
Het risico op een klaplong (in medische term pneumothorax) is vrij groot. Bij 4 patiënten die behandeld zijn met ventielen krijgt 1 patiënt een klaplong en 3 patiënten niet. De klaplong ontstaat meestal (in ongeveer 76 van de 100 gevallen) binnen 3 dagen nadat de ventielen zijn geplaatst. Na deze periode neemt de kans op een klaplong af. Vanwege het risico op een klaplong verblijft u ten minste 3 nachten na deze behandeling ter observatie in Amsterdam UMC.
Wat is een klaplong?
De longen en de borstkas zijn beiden omgeven door een vlies. Onder normale omstandigheden glijden deze vliezen soepel langs elkaar tijdens het ademhalen. De long is een elastisch orgaan, dat de neiging heeft samen te vallen. Door de negatieve druk in de borstholte blijft de long ontplooid. Als de negatieve druk wegvalt (door een gaatje in de long of de borstkas), valt de long samen. Dit wordt een klaplong genoemd. De borstholte vult zich dan met lucht, die zich tussen de long en de borstkaswand bevindt.
Wat zijn de klachten bij een klaplong?
Een klaplong kan gepaard gaan met hevige pijn op de borst, een moeizame ademhaling en kortademigheid. De pijn wordt meestal gevoeld aan de rugzijde, ter hoogte van de schouderbladen. Na enige tijd kan de kortademigheid verminderen, doordat het lichaam zich instelt op het ademen met één long.
Hoe wordt een klaplong behandeld?
Er zijn verschillende behandelingen van de klaplong.
- Observatie
- Dit komt bij ongeveer 30 van de 100 patiënten met een klaplong voor. Indien u geen of nauwelijks klachten heeft en u medisch stabiel bent dan zal er een observatie-beleid zijn. Dit betekent dat u mogelijk meer dan 3 nachten na de behandeling met ventielen in Amsterdam UMC verblijft en dat er regelmatig een longfoto van de longen gemaakt wordt om na te gaan of de klaplong vanzelf herstelt.
- Plaatsen van een drain
- Dit komt bij ongeveer 70 van de 100 patiënten met een klaplong voor. Indien u een klaplong heeft met daarbij benauwdheidsklachten dan zal er een drain (dun slangetje) worden geplaatst door de longarts. De drain wordt onder plaatselijke verdoving ingebracht tussen 2 ribben en komt in de borstholte te liggen, waardoor de lucht uit de borstholte kan ontsnappen. Dit betekent dat u in ieder geval meer dan 3 nachten en soms een aantal weken na de behandeling met ventielen in Amsterdam UMC verblijft en dat er regelmatig een longfoto van de longen gemaakt wordt om na te gaan of de klaplong vanzelf hersteld.
- Plaatsen van een drain + verwijderen van een ventiel
- Dit komt ongeveer bij 35 van de 100 patiënten met een klaplong voor. Indien er veel lucht uit de drain blijft komen, dan kan er onder narcose één of meerdere ventielen tijdelijk verwijderd worden. Door het verwijderen van het ventiel kan de long weer ontplooien waardoor het herstel van de klaplong versneld wordt. Bij ongeveer 70 van de 100 patiënten met een klaplong waarbij een ventiel verwijderd is, zal ongeveer 8 weken na herstel van de klaplong het ventiel teruggeplaatst worden. De kans op een klaplong na het terugplaatsen is nog steeds aanwezig, echter aanzienlijk kleiner. Bij 30 van de 100 patiënten zal dit niet mogelijk zijn omdat het genezingsproces van de klaplong te langdurig is geweest of wanneer het risico op herhaling medisch onverantwoord is. In dat geval is verdere behandeling met ventielen niet mogelijk.
Complicaties gerelateerd aan de behandeling met ventielen - lange termijn
Bij ongeveer 20 van de 100 patiënten kan het effect van de ventielen (gedeeltelijk) verdwijnen in het eerste jaar na de behandeling. Oorzaken hiervoor kunnen zijn: verplaatsing van het ventiel, longontsteking, bloeding in de long, granulatie (ontstekings-weefselvorming), meer kortademigheid, blijvende hoestklachten, en langdurende of snel terugkerende COPD-exacerbaties (‘long-aanval’). Wanneer u qua klachten, zonder dat er een infectie aanwezig is, weer op het niveau zit van vóór de behandeling met ventielen zal er een longfoto of een CT-scan gemaakt worden om na te gaan of de behandelkwab nog steeds in volume is afgenomen.
Indien het blijkt dat de behandelkwab weer groter is geworden zal er in overleg met een nieuwe bronchoscopie onder narcose gepland worden. Tijdens de bronchoscopie zal worden nagegaan of er een oorzaak is voor uw klachten. In sommige gevallen zal een ventiel verwijderd worden en tijdens dezelfde bronchoscopie vervangen worden door 1 of 2 nieuwe ventielen, of er zal een ventiel verwijderd worden en na circa 3 maanden weer teruggeplaatst worden of alle ventielen zullen verwijderd worden. Uit eerder onderzoek blijkt dat om deze redenen bij ongeveer 10 van de 100 patiënten 1 jaar na de behandeling de ventielen definitief zijn verwijderd.
Alternatieven voor een behandeling met ventielen
Andere opties voor behandeling van uw emfyseem zijn: doorgaan met en/of aanscherpen van uw huidige medische behandeling zoals: stoppen met roken, inhalatie-medicijnen, onderhoudsbehandeling met medicijnen als antibiotica of morfine, nachtelijke kap-beademing, voedingssupplementen, zuurstof, fysiotherapie en/of het volgen van een longrevalidatie-programma.
Er zal door het bronchoscopisch interventieteam ook nagegaan worden of u in aanmerking komt voor een andere bronchoscopische behandeling van uw COPD, bijvoorbeeld twee invasieve chirurgische behandelingen. Een longtransplantatie of longvolumereductie-chirurgie. Longtransplantatie is voor een klein deel van de emfyseempatiënten mogelijk. Deze behandeling is erg ‘zwaar’ (belastend voor uw gezondheid), u moet voldoen aan een groot aantal voorwaarden en er is een tekort aan beschikbare donorlongen. Als u op dit moment gescreend wordt voor longtransplantatie of hiervoor op de wachtlijst staat, is dit geen belemmering voor de behandeling met ventielen. Zodra er een donorlong voor u beschikbaar is, kunt u getransplanteerd worden.
Longvolumereductie-chirurgie is een grote operatie die uitgevoerd wordt door een thoraxchirurg. Chirurgie is voor veel emfyseempatiënten niet mogelijk omdat u moet voldoen aan een groot aantal voorwaarden. Bij longvolumereductie-chirurgie wordt een groot deel van uw longweefsel verwijderd, dit vereist een langdurige verblijf in het ziekenhuis en een langdurige herstelperiode.
Opname in Amsterdam UMC, locatie VUmc
U verblijft circa 4-6 nachten in het ziekenhuis.
Dag 1
U wordt een dag voor de behandeling opgenomen op verpleegafdeling Longgeneeskunde 5C van Amsterdam UMC, locatie VUmc. Tijdens deze dag staan er mogelijk een aantal onderzoeken gepland zoals bijvoorbeeld een ECG (hartfilmpje), bloedafname en longfoto. Daarnaast heeft u een opnameconsult met de longarts. Tijdens dit consult wordt de behandeling met ventielen en de risico’s nogmaals met u besproken en wordt de toestemmingsverklaring en behandelovereenkomst ondertekend. In verband met de narcose krijgt u vooraf ook een consult met de anesthesioloog. De anesthesioloog zal de risico’s van de narcose met u bespreken en aangeven vanaf welk tijdstip u nuchter moet zijn.
Dag 2
De bronchoscopie staat tussen 08.00 en 14.00 uur gepland. Een verpleegkundige brengt u naar het endoscopiecentrum. U verblijft eerst gedurende een korte tijd op de observatie-wachtkamer en vervolgens wordt u naar de behandelkamer gebracht. U komt op een behandeltafel te liggen. U krijgt een infuus in uw arm, er worden plakkers op uw borst geplakt om uw hart te bewaken, er wordt een zuurstofmeter geplaatst op uw vinger en u krijgt een bloeddrukband om uw arm. Als u een kunstgebit heeft, zal deze vlak voordat u in slaap wordt gebracht verwijderd worden. U krijgt een slaapmiddel via het infuus ingespoten. Zodra u in slaap bent wordt een beademingsbuisje ingebracht. Deze gaat via uw keel in uw luchtpijp en wordt aangesloten op de beademingsmachine. De longarts brengt dan de bronchoscoop door het beademingsbuisje in de luchtwegen. De longarts zal eerst een algemene inspectie doen van de luchtwegen en er wordt een beetje slijm opgezogen dat op kweek gezet zal worden. Indien er veel slijm en/of ontstekingen zijn in de luchtwegen kan het voorkomen dat de longarts besluit niet verder te gaan met de behandeling, omdat in dit geval een behandeling met ventielen alleen maar een verergering van ontstekingen kan geven. Indien er geen bijzonderheden zijn dan zal de Chartis-meting uitgevoerd worden. Indien er geen lekkage is worden de ventielen direct geplaatst. Wanneer de longarts klaar is wordt u weer wakker gemaakt. U bent ongeveer 1 uur op de behandelkamer.
Nadat u wakker bent brengt de anesthesioloog u naar de uitslaapkamer. Op de uitslaapkamer wordt u goed in de gaten gehouden door de verpleegkundige. Er zal een longfoto worden gemaakt om na te gaan of er geen klaplong is. U overnacht in principe op de uitslaapkamer. Er kan ook worden besloten dat u in de loop van de middag teruggebracht wordt naar de verpleegafdeling. ’s Middags komt de longarts langs en zal uitleg geven over het verloop van de behandeling. Vanwege het risico op een klaplong is het belangrijk dat u de eerste 24 uur rustig aan doet en op uw kamer blijft. De longarts zal dit met u bespreken.
Indien er geen ventielen geplaatst zijn en u bent medisch stabiel dan beslist de longarts of u diezelfde dag nog naar huis kunt. U mag zelf niet autorijden.
Dag 3
’s Ochtends wordt er een longfoto gemaakt en aan het einde van de ochtend zal de longarts langskomen om met u de uitslag van de foto te bespreken en aan te geven wat u weer mag doen. Om de conditie op peil te houden is het belangrijk dat u niet de hele dag in bed ligt, maar aan de tafel gaat zitten tijdens het eten en drinken. Daarnaast kunt u op de afdeling zelf ook rondlopen (u kunt uw rollator meenemen).
Dag 4 - 7
De longarts zal visite lopen. ’s Ochtends wordt er een longfoto gemaakt. Aan het einde van de ochtend zal de longarts langskomen om te beoordelen of u naar huis mag. Indien u naar huis mag, krijgt u van de longarts ‘leefregels’ mee. Deze ‘leefregels’ worden ook vermeld in deze informatiefolder. Een reden waarom u langer moet blijven kan zijn dat het risico op een klaplong te hoog is. Indien u niet naar huis mag dan zal de longarts dit met u bespreken en aangeven wanneer u mogelijk wel naar huis mag.
Zowel uw huisarts als uw eigen longarts ontvangen een brief van uw opname in Amsterdam UMC.
Na de behandeling met ventielen
Mogelijke klachten na de behandeling
- Pijnklachten
- Het kleiner worden van de behandelde longkwab kan de eerste dagen gepaard gaan met een pijnlijk en trekkend gevoel op de borst en in de rug en/of schouderbladen. De pijn verdwijnt meestal na een aantal dagen. De longarts zal tijdens de opname pijnmedicatie voorschrijven indien nodig. Mocht u na de opname ook nog pijnklachten ervaren dan kunt u tegen de pijn 2 tabletten paracetamol van 500 mg per 6 uur innemen.
- Kortademigheid
- De eerste paar weken kunt u iets meer kortademig zijn dan u gewend bent. De kortademigheid wordt veroorzaakt doordat de doorbloeding in de behandelde longkwab tijd nodig heeft om zich aan te passen aan de nieuwe situatie. Gemeten zuurstofwaarden kunnen daarom iets lager zijn dan u gewend bent. Het kan zijn dat u tijdens de opname vanwege een lager zuurstofwaarde tijdelijk extra zuurstof via een neusbrilletje toegediend krijgt. Na ± 4 weken zal de doorbloeding genormaliseerd zijn.
- Rood gekleurd sputum
- De eerste paar weken kan het voorkomen dat er een klein beetje bloed in het sputum zit, dit is normaal.
Wanneer neemt u contact op?
Neem contact met ons op als een van de volgende klachten de eerste week na uw ontslag uit het ziekenhuis zijn ontstaan:
- plotseling een (toegenomen) hoeveelheid bloed (>1/2 kopje) in het sputum
- plotselinge, of erger wordende, heftige hoestklachten
- koorts (gemeten hoger dan 38.5°C).
Contact opnemen kan met
Dr. Bonta of dr. Annema, of met de dienstdoende longarts. De contactgegevens vindt u op de laatste pagina van deze folder: Contact
Bel 112 indien u één van de volgende klachten heeft na ontslag:
• plotselinge, heftige pijn op de borst
• plotselinge, heftige kortademigheid
Geef direct aan de telefoniste door dat het mogelijk om een ‘klaplong gaat bij een ernstige COPD-patiënt’. Geef in het ziekenhuis aan dat u een longvolumereductie-behandeling hebt ondergaan met ventielen en dat er contact opgenomen kan worden met:
Dr. Bonta of dr. Annema, of met de dienstdoende longarts. De contactgegevens vindt u op de laatste pagina van deze folder: Contact
Leefregels na ontslag
- Thuis
- Probeer het de eerste week thuis rustig aan te doen. Blijf wel rustig in beweging maar probeer niet uw grenzen op te zoeken. Indien u moet hoesten probeer dit niet te voorkomen: hoesten mag gewoon. Probeer echter niet teveel kracht te zetten. Probeer bij de toiletgang persen te voorkomen. U mag de eerste 6 weken geen zware dingen tillen.
- Medicatie
- De kuur medicatie die in het ziekenhuis is gestart moet u thuis afmaken. Heeft u na het stoppen van de kuur nog steeds meer klachten dan voorheen, neem dan met ons contact op.
- Fysiotherapie/Sporten
- Na één week kunt u de fysiotherapie/training weer oppakken. Vermijd de eerste 6 weken wel krachtoefeningen met uw armen en schoudergordel en bouw dit hierna weer rustig op. Probeer vooral niet uw grenzen op te zoeken, dit kan een verergering van klachten geven.
- Werkzaamheden
- Na ontslag uit Amsterdam UMC kunt u uw werkzaamheden weer oppakken. U mag de eerste 6 weken niet zwaar tillen en geen zwaar huishoudelijk werk uitvoeren waarbij de armen zwaar belast worden. Probeer ook hierbij niet over uw grenzen te gaan.
- Vliegen
- Als u van plan bent in de komende maanden te gaan vliegen is het raadzaam dit eerst te overleggen met een van de longartsen van het bronchoscopisch interventieteam. De eerste 6 weken na de behandeling wordt vliegen afgeraden.
Leefregels na ontslag bij een klaplong
Er is geen bezwaar tegen snelle hervatting van zittend werk. Gedurende zes weken mag u niet zwaar tillen, geen zwaar huishoudelijk werk uitvoeren. Als u wilt vliegen dient u dit eerst te overleggen met de longarts van Amsterdam UMC. U mag wel rustig sporten en uw conditie mag wel langzaam opgebouwd worden. Duiken met perslucht mag de rest van uw leven niet meer, snorkelen mag wel. De pijnklachten kunnen nog een aantal weken aanhouden. Belangrijk is dat u niet perst bij de toiletgang gedurende ongeveer zes weken.
Als u na ontslag uit het ziekenhuis klachten krijgt dient u contact op te nemen met:
Dr. Bonta of dr. Annema, of met de dienstdoende longarts
- De contactgegevens vindt u op de laatste pagina van deze folder: Contact
In noodgevallen dient u altijd eerst 112 te bellen.
Controle-visites in Amsterdam UMC, locatie VUmc
In het eerste jaar komt u na circa 6 weken, 6 maanden en 12 maanden in Amsterdam UMC, locatie VUMC voor een controle-visite met een aantal onderzoeken. Vervolgens wordt u ieder jaar tot
5 jaar na de behandeling met ventielen uitgenodigd. Zowel uw huisarts als uw eigen longarts ontvangen een brief van uw controlevisite in Amsterdam UMC.
Voor vragen betreffende uw afspraak kunt u contact opnemen met:
- de poli via telefoonnummer 020 – 444 05 22
- of met een van de longverpleegkundigen via telefoonnummer 020 – 566 32 74 - bereikbaar op maandag, dinsdag, donderdag en vrijdag.
Contact
- In geval van spoed of medische vragen kan het algemene nummer gebeld worden van Amsterdam UMC, locatie VUmc:
- telefoonnummer 020 – 444 44 44 – vraag naar:
- dr. Bonta, dr. Annema of de dienstdoende longarts (sein 61468).
- Voor algemene informatie over verwijzingen, procedures of overige vragen, zijn wij te bereiken op telefoonnummer 06 – 310 342 69 of per e-mail: Marianne van de Pol m.a.vandepol@amsterdamumc.nl
- Graag altijd uw voornaam, achternaam en uw geboortedatum vermelden in uw e-mail.
Bron: illustraties in deze patiënteninformatie zijn met toestemming overgenomen uit
Bronchoscopische Longvolume Reductie met ventielen (z.d.). Universitair Medisch Centrum Groningen (UMCG) - afdeling Longziekten.