Hoe ontstaat een zwangerschap?
In principe rijpt er in een normale menstruele cyclus bij de vrouw elke maand slechts één eiblaasje (follikel) in één van de twee eierstokken. De eierstokken liggen vrij in de buik. Dit eiblaasje bevat meestal één eicel dat tijdens de eisprong, ook wel ovulatie genoemd, vrijkomt in de buik van de vrouw en wordt opgevangen in één van de twee eileiders. Als er op het juiste moment onbeschermde geslachtsgemeenschap plaatsvindt, kan er in de eileiders een ontmoeting plaatsvinden tussen de zaadcellen en de eicel. Deze ontmoeting kan leiden tot een bevruchting.
Figuur 1. Baarmoeder met zaadcellen
Eileider met zwemmende zaadcellen
Baarmoeder
Gesprongen eicel
Eierstok met eiblaasjes
Wat is een intra-uterine inseminatie (IUI) behandeling
Als een natuurlijke zwangerschap uitblijft, kan Intra-uteriene Inseminatie-behandeling oftewel IUI uw zwangerschapskansen verhogen.
IUI is het inbrengen van zaadcellen (insemineren) direct in de baarmoederholte (intra-uterien). De kans op zwangerschap kan hierdoor worden verhoogd doordat op het juiste moment in de cyclus de meest beweeglijke zaadcellen dichter bij de vrijgekomen eicel worden gebracht. Hierdoor hoeven de zaadcellen niet meer de barrière van de baarmoedermond te passeren en kan de bevruchting, meestal in de eileider, plaatsvinden. Als er bevruchting is opgetreden zal het embryo daarna richting de baarmoeder gaan om daar in te nestelen zodat een zwangerschap kan ontstaan.
Een IUI-behandeling kan zowel in een natuurlijke cyclus als in een gestimuleerde cyclus plaatsvinden. Welke behandeling voor u gekozen wordt, is afhankelijk van de uitkomsten van de eerder verrichte onderzoeken.
Indicatie
Voordat u start met een IUI-behandeling zijn er eerst meerdere onderzoeken uitgevoerd bij zowel de vrouw als de man. Dit wordt ook wel het oriënterend fertiliteitsonderzoek genoemd, of OFO. Hierbij is er bij de vrouw onder andere gekeken of er sprake is van een cyclus met een eisprong door middel van de Basaal Temperatuur Curve (BTC). Er is gekeken naar de duur van de tweede helft van de cyclus en is er een onderzoek verricht om de doorgankelijkheid van de eileiders te beoordelen. Dit kan zowel met een hysterosalpingogram (HSG, ook wel baarmoeder foto genoemd) als met een kijkoperatie (laparoscopie) zijn gedaan. Bij de man is er onderzoek gedaan naar de kwaliteit van het sperma. Het advies voor het opstarten van een IUI-behandeling komt nadat alle uitslagen in het team zijn besproken. Hierna krijgt u een poli-afspraak bij een arts om uw persoonlijke behandelplan te bespreken.
IUI in een natuurlijke cyclus
Het advies voor het opstarten van een IUI-behandeling in de natuurlijke cyclus wordt vaak gegeven aan koppels waarbij er een licht verminderde kwaliteit van het sperma wordt gezien of waarbij een meerling zwangerschap medisch gezien ongewenst is. Hiermee wordt bedoeld dat een meerlingzwangerschap voor u, uw baarmoeder en de ongeboren kinderen veel risico’s met zich mee brengt.
Mocht er na 3 behandelingen in een natuurlijke cyclus nog geen zwangerschap zijn opgetreden, kan worden overwogen (in overleg) om over te gaan op IUI in een gestimuleerde cyclus.
IUI in een gestimuleerde cyclus
Het advies voor het opstarten van een IUI-behandeling in een gestimuleerde cyclus wordt vaak gegeven aan koppels waarbij er sprake is van milde endometriose bij de vrouw, uitblijvende zwangerschap na IUI in de natuurlijke cyclus of bij koppels waarbij geen afwijkingen worden gevonden in het oriënterend fertiliteitsonderzoek (OFO). Mocht het zo zijn dat u erg op ziet tegen het gebruik van hormonen, bespreek dit met uw arts. Indien het medisch verantwoord is, kan de keuze worden gemaakt om eerst een IUI in de natuurlijke cyclus op te starten.
Aanmelden
Als alle onderzoeken zijn afgerond en u een startgesprek bij de arts heeft gehad waarbij akkoord is gegeven voor het starten voor de behandeling, kunt u zich aanmelden.
Het is belangrijk dat u dit meteen op de eerste dag van uw menstruatie doet. Dit kan ook op een feest- of weekenddag.
U kunt zich zowel via internet als telefonisch aanmelden. Aanmelden via onze website heeft de voorkeur.
Mocht u niet vanuit uzelf menstrueren, meldt u zich dan wel aan. U wordt uitgenodigd voor een inwendig echoscopisch onderzoek en eventueel bloedonderzoek. Hierbij wordt gekeken of u medicatie kunt krijgen om de menstruatie kunstmatig op te wekken. Op deze wijze wordt zo een startmoment voor de IUI behandeling gecreëerd.
Het is goed om u te realiseren dat als u zich na een zwangerschap weer wilt aanmelden of als u langer dan één jaar geen behandeling heeft gehad, er in dat geval eerst een consult bij de arts plaatsvindt. Hierbij wordt gekeken of u kunt starten, of dat er wellicht eerst andere onderzoeken en/of behandelingen afgerond moeten worden.
In beide gevallen is er een nieuwe verwijzing van uw huisarts nodig voor zowel u als uw partner.
Internet
Ga naar onze website: www.vumc.nl/ivf. Onder het kopje ‘aanmelden voor een behandeling’ vindt u het formulier ‘melden eerste dag menstruatie’.
Als uw aanmelding voor 12.00 uur binnen is, wordt deze dezelfde dag beoordeeld door een fertiliteitsarts en krijgt u dezelfde middag tussen 14.00 en 16.00 uur telefonisch bericht met, indien u met de behandeling kunt starten, een afspraak voor echoscopisch onderzoek.
Het kan natuurlijk zijn dat uw menstruatie na 12.00 uur ’s middags begint. Meldt u evengoed direct online aan via het formulier, u wordt dan de volgende dag gebeld voor de verdere afspraken.
Telefonisch
Voor het aanmelden van de eerste dag van uw menstruatie om te starten met de behandeling, zijn wij van 7 dagen per week telefonisch bereikbaar tussen 10.30 en 12.00 uur op telefoonnummer (020) 444 3268. Wij vragen naar uw naam, uw VUmc-registratienummer (bestaat uit 7 cijfers, ook wel MDN-nummer genoemd), geboortedatum en het telefoonnummer waarop u ’s middags te bereiken bent tussen 14.00 en 16.00 uur.
Niet starten
Er is geen wachttijd, wel bestaat een kleine kans dat u niet meteen kunt starten met de behandeling. Om optimale zorg en begeleiding te kunnen waarborgen kunnen wij niet een onbeperkt aantal patiënten per dag laten beginnen met de behandeling. Mocht u te horen krijgen dat u niet kunt starten, dan proberen wij u de maand erop voorrang te geven.
Wij vragen hiervoor uw begrip.
Mijn Dossier
Wij vragen u om ‘Mijn Dossier’ te activeren. U kunt dan delen van uw eigen dossier inzien. Na de start met de behandeling, zal in uw dossier ook relevante informatie en instructies over uw behandeling staan wat u ten aller tijde kunt inzien.
Hoe verloopt een IUI-behandeling?
Bij zowel de gestimuleerde als de natuurlijke cyclus wordt de groei van het eiblaasje in de gaten worden gehouden met echografische controles. Dit is middels een vaginale echo. Om de baarmoeder en eierstokken zo goed mogelijk te kunnen beoordelen zonder dat de blaas in de weg ligt, vragen wij u bij deze afspraken vooraf goed uit te plassen. Een echo controle duurt 10 minuten.
Natuurlijke cyclus
Afhankelijk van uw cycluslengte wordt enkele dagen vóór de verwachte eisprong een echoafspraak gepland in het IVF-centrum. Daarna is het afhankelijk van de groei van het ei-blaasje wanneer en of u nog een keer voor echocontrole moet komen. De controles zullen iedere één tot vier dagen plaats vinden tot het ei-blaasje groot genoeg is. Het streven is een ei-blaasje van 17 tot 18 mm. Bij deze grootte wordt de eisprong kunstmatig in gang gezet door de hCG-injectie (Ovitrelle®). De Ovitrelle® injectie zorgt ervoor dat de eisprong 38 tot 40 uur later plaatsvindt. De inseminatie wordt net voor deze periode gepland.
Het team maakt de beste planning voor de inseminatie. Het tijdstip van de Ovitrelle® en de inseminatie krijgt u ’s middags in een brief in uw ‘Mijn Dossier’. In de toekomst, gaat het terugkoppelen van deze tijden volledig via ‘Mijn Dossier’.
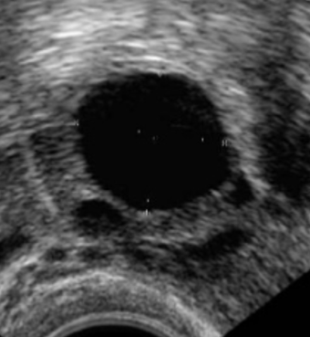
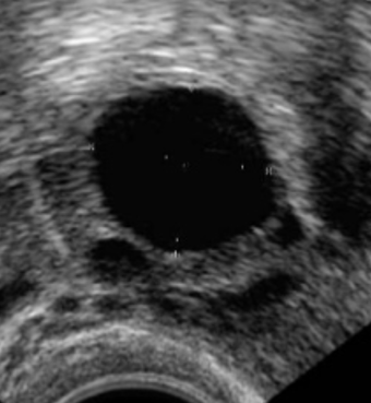
Figuur 2. Eierstok aan begin van de cyclus met kleine eiblaasjes en eierstok met dominant eiblaasje.

Gestimuleerde cyclus
Om de kans op zwangerschap te vergroten, krijgt u medicijnen voorgeschreven die de eierstokken stimuleren. Op die manier komen meestal twee eiblaasjes tot ontwikkeling in plaats van 1 (zoals in de natuurlijke cyclus). Nadat u zich op de eerste dag van de menstruatie heeft aangemeld, heeft u een afspraak gekregen voor een uitgangsecho op de tweede of derde dag van de cyclus. Deze afspraken vinden plaats op het IVF-centrum. Bij een uitgangsecho wordt gekeken of er geen cystes of andere afwijkingen aan de baarmoeder of eierstokken worden gezien die de behandeling kunnen belemmeren. Het is mogelijk dat u wordt gevraagd om bloed te laten afnemen. Hierbij kunnen verscheidene hormonen worden bepaald. Dat kan (indien nodig direct) in het IVF-centrum. Meestal worden er geen bijzonderheden ontdekt en kan de behandeling doorgaan.
In dat geval begint u op cyclusdag 3 met het spuiten van het follikelstimulerend hormoon (FSH: Menopur® of Gonal-F®). De standaard dosering is 75 IE Menopur®. Van deze dosering kan worden afgeweken op basis van leeftijd, eicelvoorraad en/of het resultaat van eerdere stimulaties.
De eerste keer dat u de injecties moet gaan gebruiken zal de verpleegkundige u een ‘prikinstructie’ geven zodat u precies weet waarop u moet letten. Het kan zijn dat op het moment dat u uw echoafspraak heeft het te druk is om direct de instructies te geven. Dan verzoeken wij u om eerst uw medicatie op te halen bij de poliklinische apotheek en daarna terug te keren met uw eigen medicatie.
De injectie met het FSH-hormoon zet u zelf (of uw partner) iedere avond rond hetzelfde tijdstip. Het is niet erg als dit een keer een uur eerder of later gebeurt. U gaat door met de dagelijkse injectie tot dat wij u andere instructies geven.
U krijgt een vervolgafspraak na vijf tot tien dagen (afhankelijk van uw cyclusduur of verloop van eerdere stimulaties). Na de tweede controle is het afhankelijk van de groei van het ei-blaasje wanneer en of u nog een keer voor echocontrole moet komen. De controles zullen iedere één tot vier dagen plaats vinden tot dat het ei-blaasje groot genoeg is. Het streven is (een tot) twee ei-blaasjes van 17 tot 18 mm. Bij deze grootte wordt de eisprong kunstmatig in gang gezet door de hCG-injectie (Ovitrelle®). De Ovitrelle® injectie zorgt ervoor dat de eisprong 38 tot 40 uur later plaatsvindt. De inseminatie wordt net voor deze periode gepland.
Het team maakt de beste planning voor de inseminatie. Het tijdstip van de Ovitrelle® en de inseminatie krijgt u ’s middags in een brief in uw ‘Mijn Dossier’. In de toekomst, gaat het terugkoppelen van deze tijden volledig via ‘Mijn Dossier’.
Figuur 3. Het injecteren van de Menopur (afbeelding van www.drugs.com) 

Figuur 4. Het injecteren van de Gonal-F (afbeelding van Merckgroup)




Inseminatie
Sperma inleveren
Op de dag van de inseminatie dient de partner of donor ’s morgens in het IVF-centrum, of bij uitzondering thuis, een zaadmonster op te wekken middels masturbatie. U krijgt hiervoor een afspraak tussen 8.00 en 9.00 uur. Indien de inseminatie in de middag plaatsvindt, dan opwekken eind van de ochtend. Voor zowel het thuis opwekken als het opwekken in het IVF-centrum mag alleen het potje worden gebruikt dat door ons wordt verstrekt. Dit potje (rode deksel, 125 ml) is van speciaal materiaal dat geschikt is voor het opvangen van sperma. Indien gewenst, mag de vrouw ook bij het opwekken aanwezig zijn.
Als het monster thuis wordt opgewekt is het belangrijk dat het zaadmonster binnen een uur op het IVF-centrum is en wordt vervoerd op lichaamstemperatuur.
Voor verdere instructies over het opwekken en onthouding verwijzen we u naar de folder : ‘Semen voor IUI-, IVF- en ICSI-behandeling’.
Op het afgesproken tijdstip meldt u zich bij de aanmeldbalie naast de grote wachtkamer. Het is belangrijk dat u uw identiteitsbewijs meeneemt. Hiermee worden uw gegevens gecontroleerd om zo de juiste sticker (met gegevens van zowel u als uw partner) op het potje te kunnen plakken. Hierna krijgt u een kamer toegewezen en een letterkaart mee (A, B of C). De letter op de kaart correspondeert met de toegewezen kamer. Het advies is om de kaart aan de buitenkant van de kamer te hangen zodat duidelijk is dat de kamer in gebruik is en u niet gestoord wordt. Als u klaar bent levert u het potje in bij de lab balie.
In het laboratorium bekijkt de analist met behulp van een microscoop uw sperma en beoordeelt het volume, het aantal zaadcellen en de bewegelijkheid. Hierna wordt uw sperma geschikt gemaakt voor behandeling. Dit houdt in dat het zaadmonster in het laboratorium een bewerking ondergaat (centrifugeproces in combinatie met een soort filter). Deze procedure heeft als doel het selecteren van de beste zaadcellen uit het zaadmonster voor de inseminatie. Uiteindelijk blijft er een kleine hoeveelheid vloeistof over welke zal worden ingebracht in de baarmoeder.
Indien in het zaadmonster te weinig goede zaadcellen over blijven, kan de inseminatie gecanceld worden.
Inseminatie
Een inseminatie vindt één maal per cyclus plaats. De timing van de inseminatie wordt bepaald aan de hand van de grootte van het grootste follikel en/of (bij uitzondering) de uitslag van een ovulatietest. Een inseminatie zelf is een eenvoudige medische, meestal pijnloze ingreep die enkele minuten duurt. De inseminatie wordt uitgevoerd door een fertiliteitsarts of verpleegkundige/doktersassistent.
Een inseminatie vindt meestal plaats tussen 10.00 en 12.00 uur. Voor de afspraak checkt u in en neemt u plaats in de rechter wachtkamer. Het is belangrijk dat u een uur voor de afspraak niet uit plast, tenzij anders met u is afgesproken. Een vollere blaas zorgt voor een rechtere positie van de baarmoeder waardoor inseminatie makkelijker zal verlopen. Het is mogelijk uw partner mee te nemen naar de afspraak, zijn aanwezigheid is echter niet noodzakelijk.
De inseminatie wordt uitgevoerd door een fertiliteitsarts. U wordt opgehaald uit de wachtkamer en meegenomen naar de kamer waar de inseminatie zal plaatsvinden. De arts gaat met uw identiteitsbewijs naar het laboratorium om het bewerkte zaadmonster op te halen. In de tussentijd kunt u zich van onderen uitkleden en plaatsnemen op de onderzoeksbank. Na terugkomst controleert de arts met u het meegenomen identiteitsbewijs en monster en hoort u de kwaliteit van het zaadmonster.
De zaadcellen, geconcentreerd in een klein volume, worden opgezogen in een katheter (dun slangetje). U plaatst uw benen in de beensteunen waarna de arts de spreider (ook wel speculum of eendenbek genoemd) inbrengt om de baarmoedermond in beeld te krijgen. Vervolgens wordt de katheter via de baarmoedermond in de baarmoederholte geplaatst, waarna de zaadcellen langzaam vanuit de katheter in de baarmoederholte worden gespoten. Hierna mag u zich meteen weer aankleden en uw dagelijkse activiteiten hervatten. U mag ook direct naar het toilet. Het kan zijn dat u enkele druppels bloedverlies of vochtverlies hebt, dit is niet erg. U hoeft verder geen speciale maatregelen te treffen. Voor de inseminatie is geen pijnstilling nodig.
In een enkel geval worden er Utrogestan ® tabletten gegeven als hiervoor een indicatie is. Bijvoorbeeld bij een korte 2e helft van de cyclus. Als dit met u besproken is, start u met 3 keer per dag 100mg Utrogestan ®. Dit zijn tabletten die vaginaal moeten worden ingebracht.
Zwangerschap
Indien de menstruatie twee weken na de eisprong uitblijft, doet u thuis een zwangerschapstest in de urine. Als u zwanger bent zal er een echo afspraak worden gepland rond de 7-8 weken zwangerschap (5-6 weken na eisprong). Het kan zijn dat de eerste echo eerder wordt gepland als het risico op een buitenbaarmoederlijke zwangerschap verhoogd is. De echo zal met 5 weken en 6 dagen zwangerschap plaatsvinden.
Bij deze echo hopen we een (kleine) vruchtzak in de baarmoeder te zien.
Indien u bent gaan menstrueren of de zwangerschapstest helaas negatief is, mag u zich weer aanmelden (telefonisch of per mail) voor het opstarten van een nieuwe behandeling als dat met uw behandelend arts is afgesproken.
U bent ook altijd vrij om een maand rust te nemen, dan hoeft u zich niet aan te melden.
Kansen behandeling
De kansen op zwangerschap bij de IUI behandeling zijn 8-10% per inseminatie. 35-40% is na 6 behandelingen zwanger. Een oudere leeftijd heeft helaas een negatieve kans op de zwangerschapskans.
Aantal behandelingen
Na 6 IUI behandelingen vindt er een evaluatiemoment plaats om het vervolg te bespreken. Na 6 IUI behandelingen zonder zwangerschap komt u mogelijk in aanmerking voor IVF/ICSI behandeling.
Risico’s en Bijwerkingen
Fysieke klachten
Bij het gebruik van FSH (Gonal-F® of Menopur®) komen klachten van hoofdpijn, maag- darmklachten, vermoeidheid en klachten in het bekkengebied voor.
Mocht u klachten hebben, bespreek ze met de arts.
Psychische klachten
Stemmingswisselingen, prikkelbaarheid, angst en depressieve gevoelens
Meerlingzwangerschap
Op basis van leeftijd en het beeld van uw eierstokken bij de uitgangsecho bepalen wij de startdosering. De standaard dosering is 75IE Menopur®. Het kan echter zo zijn dat uw eierstokken niet zo reageren zoals dat we van te voren hadden verwacht. Dit kan betekenen dat door de stimulerende medicijnen meer ei-blaasjes tot ontwikkeling zijn komen dan gewenst. Er is dan sprake van overstimulatie. Hoe meer ei-blaasjes, hoe groter de kans op een meerlingzwangerschap. Een meerlingzwangerschap zien wij als een complicatie omdat er bij een meerlingzwangerschap meer risico’s zijn voor zowel u als de ongeboren kindjes dan bij een eenlingzwangerschap. De behandeling wordt daarom afgebroken als er meer dan drie ei-blaasjes zijn met een doorsnede van 14 mm of groter. Ook als er meer dan 5 blaasjes van 12 mm zijn.
Het afbreken van een behandeling houdt in dat u de stimulerende medicatie (Menopur® of Gonal-F®) staakt, geen Ovitrelle® injecteert en dat er geen onbeschermde gemeenschap met uw partner zal plaatsvinden. Door de meerdere ei-blaasjes kunnen klachten van buikpijn, opgezette buik en algemeen on-welbevinden optreden.
Daarna is het afwachten tot de menstruatie optreedt. Indien de menstruatie optreedt, kunt u zich weer aanmelden voor een nieuwe behandeling.
Voor de start van de behandeling zal er met een uitgangsecho gekeken worden of er cystes (restjes van de ei-blaasjes gevuld met vocht) aanwezig zijn. Dit komt vaker voor als een vorige behandeling is gestaakt in verband met overstimulatie, maar kan ook na een natuurlijke cyclus of goed verlopen IUI behandeling plaatsvinden. Dit is niet schadelijk, maar kan een nieuwe behandeling wel verstoren. U krijgt het advies een maand rust te nemen of één strip van de anticonceptiepil te slikken.
Lange stimulatie
Het is ook mogelijk dat er, ondanks de stimulatie, bij herhaaldelijke echografische controles geen eiblaasje(s) groeit/groeien. Er kan worden besloten de dosering in dezelfde behandel cyclus te verhogen. Dit kan geen kwaad, maar vraagt wel geduld omdat dit leidt tot een langere cyclus.
Gemiste eisprong
Bij een enkele vrouw is het zo dat een ei-blaasje sneller groeit en eerder springt dan gebruikelijk is. Dit is iets wat eenmalig kan gebeuren maar kan ook vaker voorkomen. Als een ei-blaasje al is gesprongen is het mogelijk dat de inseminatie niet goed meer te timen valt. De kans op zwangerschap is dan kleiner. Bij een volgende behandeling zal dan eerder en meer echografische controles plaatsvinden. Het is ook mogelijk dat wij u vragen ovulatietesten in het IVF-centrum en thuis te doen.
Tussentijdse vragen/evaluatie/perspectief
Tijdens de behandeling zult u meerdere afspraken en controles hebben in het IVF-centrum. Dit zijn vaak korte afspraken waarin niet altijd voldoende tijd is om al uw vragen uitgebreid te bespreken. Als een arts of verpleegkundige het idee heeft dat uw vragen in de bestaande afspraken onvoldoende beantwoord kunnen worden, kan zij het advies geven een afspraak in te plannen bij een arts. Mocht u zelf eerder de behoefte hebben aan een gesprek dan kunt u dit aangeven.
Na 6 IUI behandelingen vindt er een evaluatiemoment plaats om het vervolg te bespreken. Na 6 IUI behandelingen zonder zwangerschap komt u mogelijk in aanmerking voor IVF/ICSI behandeling.
Wat kunt u zelf doen?
Er is behoefte aan controle in een traject waarbij zoveel gebeurt buiten uw controle om. Regelmatig krijgen wij de vraag wat u zelf kunt doen om de kansen op slagen zo groot mogelijk te maken.
Voeding
Ten aanzien van voeding adviseren wij de Richtlijnen Goede Voeding van de gezondheidsraad te volgen. Qua suppletie wordt geadviseerd minimaal 4 weken voor de mogelijkheid op zwangerschap te starten met foliumzuur, vitamine D en visolie. Dit kunt u apart innemen of in een multi-vitamine (voor zwangeren).
Algemene levensstijl
Op de site www.zwangerwijzer.nl en www.slimmerzwanger.nl kunnen u en uw partner middels vragenlijsten een persoonlijk advies krijgen wat jullie nog kunnen doen om de kansen op zwangerschap te optimaliseren. Het veranderen van levensstijl gaat vaak niet makkelijk. Als er een advies uitkomt om uw levensstijl te veranderen kan het helpen om via www.slimmerzwanger.nl een begeleidingstraject te starten. Hier staat een maandelijkse bijdrage tegenover die door Zilveren Kruis en Achmea wordt vergoed. Ook de huisarts beschikt over verscheidene begeleidingstrajecten.
Algemene tips kunt u vinden op www.strakszwangerworden.nl.
Roken, overmatig alcohol gebruik (meer dan 5 glazen per week, ook in één keer) en drugsgebruik wordt afgeraden. Het heeft namelijk gedurende de drie daaropvolgende maanden een negatieve invloed op de ei- en zaadcellen. Middels roken verlaag je als vrouw de kans op zwangerschap alsof je tien jaar ouder bent. Voor de man betekent het afname in bevruchtend vermogen.
Drugsgebruik kan, naast mogelijke breuken op de genen, de hormoonhuishouding ernstig verstoren.
In ons centrum geldt een zero-tolerance beleid wat betreft drugsgebruik. Dit betekent dat als wij als behandelaar het idee krijgen dat er drugsgebruik in het spel is, wij u kunnen vragen om een urinetest. Als deze positief blijkt, wordt de behandeling gestaakt.
Koorts
Van koorts is bekend dat het een slecht effect heeft op de kwaliteit van het zaad. Advies is daarom om direct bij koorts te starten met paracetamol, zodat de temperatuur omlaag gaat. Indien de man desondanks hoge koorts (meer dan drie dagen boven de 38°C) heeft gehad in de drie maanden voorafgaande aan de behandeling, dient u dit te melden aan de arts. Er kan dan besproken worden of een extra zaadonderzoek dient te worden verricht.
Verzekering
De IUI behandeling op zich wordt door uw zorgverzekeraar vanuit het basispakket vergoed. Dit geld ook voor de medicatie. De injecties vallen onder de “ziekenhuis verplaatste zorg” mede omdat het dure medicatie is. U kund deze medicatie dus alleen bij de apotheek van locatie VUmc op halen op werkdagen tijdens kantoortijden. De recepten worden op maat gemaakt en digitaal verstuurd naar de apotheek.
Het is mogelijk dat afhankelijk van het moment van uw afspraak, de medicatie opgehaald moet worden in de poliklinische apotheek, klaar worden gelegd in de kluis of wordt thuisbezorgd. Als uw medicatie in de kluis ligt, ontvangt u hierover een e-mail van de apotheek met instructies en een inlogcode. Het is mogelijk dat deze mail in de spam folder terecht komt. Als uw medicatie wordt thuisbezorgd neemt de bezorgdienst contact met u op voor het afspreken van een geschikt levermoment.
Het is belangrijk om de recepten zo goed als mogelijk is op maat te maken om verspilling zo veel mogelijk te voorkomen. Mocht u medicatie over hebben, bewaar deze dan, ook als u zwanger bent. Eenmaal uitgegeven medicatie kan niet meer worden teruggenomen of aan andere vrouwen worden verstrekt.
Wachttijd
Er is geen wachttijd voor het opstarten van een IUI behandeling. Het is wel mogelijk dat u na aanmelding van uw menstruatie te horen krijgt dat u die maand niet kunt starten in verband met drukte. We proberen u dan de maand erop voorrang te geven.
Psychische belasting
Graag willen wij u er op wijzen dat het mogelijk is tijdens of na een behandeling een gesprek te hebben met en van onze verpleegkundige. Dit gesprek is bedoeld om enige begeleiding te bieden bij het proces waar u inzit.
Het is geen spreekuur waar medische vragen gesteld kunnen worden. Onze verpleegkundigen zijn geen psychologen maar kunnen zij wel door hun jarenlange ervaring tot steun zijn.
Om een afspraak op dit spreekuur te maken kunt u bellen op elke werkdag tussen 9.00 en 10.00 uur en tussen 15.00 en 16.00 uur bellen op telefoonnummer 020-444 32 69.
Vragen
Indien u nog vragen heeft, kunt u contact opnemen met
Amsterdam UMC, locatie VUmc
Polikliniek Voortplantingsgeneeskunde en IVF-centrum,
Gebouw Zuid
Amstelveenseweg 601 1081 JC Amsterdam
T (020) 444 32 69 maandag t/m vrijdag tussen 10.30 en 12.00 uur
IVF-centrum Amsterdam UMC | Amsterdam UMC
In geval van spoed buiten kantooruren
In het geval van een spoedsituatie tussen 16.00 en 08.00 uur, kunt u van maandag tot en met zondag bellen naar:
De Spoedeisende Hulp van de afdeling Vrouwenziekten van Amsterdam UMC, locatie AMC
Telefoon: (020) 566 15 00
