In samenspraak met uw orthopedisch chirurg heeft u besloten een operatie aan de voet van uw kind te laten uitvoeren. De operatie is bedoeld om de holvoet te corrigeren en zo de klachten te verminderen/de voet beter schoeibaar te maken. Uw kind wordt voor deze operatie 2 a 3 dagen opgenomen op de kinderafdeling van het Amsterdam UMC. In deze folder staat informatie over de operatie. Heeft u nog vragen na het lezen van deze folder, stel deze dan gerust aan uw behandelend arts.
Operatie
Bij de operatie worden vaak meerdere “kleine” operaties gedaan aan dezelfde voet.
Bij een neurologische cavovarusvoet (NCVV) is de balans in de voet niet zoals bij een normale voet. Er zijn bepaalde spieren die meer kracht hebben dan andere spieren. Hierdoor vervormt de voet zich langzaam in de richting van de spieren die het sterkst blijven. De voet gaat meer en meer richting een holvoet stand.
De orthopaedisch chirurg beoordeelt op het spreekuur welke afwijkingen in de voet van uw kind gecorrigeerd moeten worden om de voet beter in balans te krijgen en in een positie waarin deze beter kan worden belast en geschoeid.
Verschillende kleine operaties
Het gaat om de volgende operaties:
- Calcaneus osteotomie
- Longus naar brevis transfer
- SPLATT (Split anterior tibial tendon transfer)
- Mediale release
- Extenderende Osteotomie 1e straal
- Jones Procedure
- Achillespees verlenging
- Tibialis Posterior transpositie
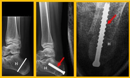
Calcaneus osteotomie
Bij een calcaneus osteotomie wordt het hielbot doorgezaagd en meer naar de buitenzijde verplaatst. De achtervoet komt zo meer van de “O” positie in een “X” positie.
Het vastzetten van beide botdelen gebeurt meestal met een schroef vanuit de hiel, middels een apart litteken.

Figuur 1: Voorbeeld van een calcaneus osteotomie. H=hielbot (calcaneus). De witte streep op het linker plaatje is de locatie van het litteken. De Rode pijl wijst naar de schroef. Op het meest rechtse plaatje zie je de verschuiving van het hielbot naar de buitenzijde
Longus naar brevis transfer
Aan de buitenzijde van de enkel lopen 2 spieren: de peroneus longus en de peroneus brevis. De longus gaat onder de voet door naar de grote teen. De brevis gaat naar de basis van de kleine teen. Vaak is de longus nog sterk en de brevis niet meer. Door de longus door te snijden en vast te maken aan de brevis zorg je voor meer kracht aan de buitenzijde van de enkel/voet en tevens voor een afname van de krachten die de grote teen omlaag trekken (de laatstgenoemde krachten zorgen voor een toename van de holling onder de voet)

Figuur 2: De peroneusspieren. Het litteken komt in de richting van de beide spieren (zwarte streep). De longus snijden we door en hechten we vast aan de brevis.
SPLATT (Split anterior tibial tendon transfer)
De SPLATT, of ½ tibialis anterior transpositie, omhelst het verplaatsen van de helft van de tibialis anteriorpees naar de buitenzijde van de voet. Hiermee wordt wederom een kracht van de binnenzijde naar de buitenzijde van de voet verplaatst om de balans te verbeteren. De verplaatste pees wordt meestal vastgehecht aan de peroneus tertiuspees die aan de voor-buitenzijde van de enkel/voet loopt en de voet naar buiten en omhoog beweegt.

Figuur 3: De tibialis anteriorspier. Bij het streepje op het linkerplaatje komt een litteken waar de helft van de pees wordt losgemaakt. Dat stukje pees “tunnelen” we naar net boven de enkel (2e plaatje). Dan verplaatsen we dat stukje pees naar de buitenzijde van de voet (streepje op 3e plaatje) en hechten deze vast aan de peroneus tertiuspees. Op het meest rechtse plaatje staat de eindsituatie waarbij de pees voor de helft naar de buitenzijde van de voet is verplaatst en de balans is veranderd.
Mediale release
Aan de binnenzijde van de voet eindigt de tibialis posteriorspier. Deze spier zorgt ervoor dat de voetboog omhoog wordt getrokken en verergert dus de holvoet. Onder deze pees ligt een kapsel wat vaak verkort / te strak is en tevens een peesplaat die vaak verkort is. De pees en som ook het kapsel en de peesplaat worden langer/losser gemaakt.
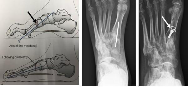
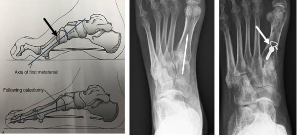
Extenderende Osteotomie 1e straal
Hierbij wordt de grote teen omhoog geplaatst door een botwigje uit te zagen aan de basis van de grote teen. Door dit wigje te verwijderen kan de grote teen omhoog komen waardoor de holling in de voet minder wordt. De voet wordt dus platter en beter belastbaar. Op de plaats waar we het botwigje hebben verwijderd plaatsen we een RVS schroefje en ijzerdraadje om het middenvoetsbeentje van de grote teen op de juiste positie te houden. Zodra het bot genezen is, is de schroef niet meer nodig en kan bij klachten evt worden verwijderd.

Figuur 4: Het bovenste linker plaatje is een schematische weergave van de “osteotomie”. Het driehoekje bij de pijl wijst naar de wig die uitgezaagd wordt. Het plaatje eronder laat de situatie zien na verwijderen van het wigje. Het middelste plaatje laat een voetfoto van een patiënt zien voor de operatie, de witte streep is de plaats van het litteken. het meest rechtse plaatje is na de operatie. Bij de pijl zie je de schroef en het ijzerdraadje om de botdelen op de juiste positie te houden.
Jones Procedure
Bij de Jones procedure wordt de lange strekpees van de grote teen verplaatst van het eindkootje naar het middenvoetsbeentje van de grote teen. De beide kootjes van de grote teen worden aan elkaar vastgezet met een schroef. Deze procedure zorgt ervoor dat de strekpees van de grote teen de teen niet meer doet klauwen maar zorgt juist voor een omhoogwaartse beweging van de grote teen. Dit gaat weer de holvoet tegen.

Figuur 5: Op het linker plaatje is de grote teen zichtbaar. Er worden 2 littekens gemaakt. De pees wordt losgehaald bij het eindkootje en door het middenvoetsbeentje gevlochten door een boorgat. Op de rechter foto is de schroef zichtbaar die beide kootjes aan elkaar verbindt. Deze wordt vanuit het puntje van de teen geboord middels een (klein) 3e litteken. De witte streepjes geven de locatie van de andere 2 littekens aan.
Achillespees verlenging
Als de pees te kort is dan zal deze tijdens de operatie worden verlengd. Meestal lukt dat door 3 kleine scheurtjes te maken in de pees, waarna deze wat langer kan worden gemaakt:

Figuur 6: Achillespees verlenging. We kijken naar de achterzijde van de enkel/hiel. De 3 groene streepjes zijn de scheurtjes in de Achillespees.
Tibialis Posterior transpositie
Hierbij wordt een pees aan de binnenzijde van de voet verplaatst naar de voetrug / buitenzijde voet:

Figuur 7: Op het linker plaatje wordt de aanhechting van de pees losgemaakt (bij de handschoen) en “getunneld“ naar boven. Op het rechter plaatje is de pees tussen het scheenbeen en kuitbeen door verplaatst naar de voorzijde van het scheenbeen en wordt dan verplaatst naar de voetrug (richting van de pijl). Daar wordt de pees weer vastgehecht.
Redenen om de operatie uit te voeren
Als de balans in de voet niet goed is, zullen de spieren die sterker zijn de overhand hebben. Het is een ongelijke strijd tussen de spiergroepen. Soms kunnen spalken helpen om de vervorming van de voet tegen te gaan, maar vaak is een operatie nodig om de balans en de voetpositie te verbeteren.
De meest voorkomende klachten zijn zwikken en pijnklachten alsmede drukplekken en moeite om schoenen te kunnen dragen.
Doel is om de klachten te verminderen en beter een schoen aan te kunnen.
Voorbereidingen voor de opname
Nadat u met uw kind voor vooronderzoek bij de anesthesioloog (narcose dokter) bent geweest en een operatiedatum weet, is het handig om thuis wat zaken voor te bereiden voor de opname. Dit is nodig omdat uw kind na de operatie 10-12 weken in het gips zit en daardoor met een loop-hulpmiddel moet lopen of met een rolstoel zich moet verplaatsen. Van deze 3 maanden mag uw kind de eerste 6 weken de voet niet belasten.
Het is raadzaam 1 week voor uw opname in ieder geval de noodzakelijke hulpmiddelen te regelen. Dit kan bij een thuiszorgwinkel bij u in de buurt.
Noodzakelijke hulpmiddelen
- 2 elleboogkrukken (neem deze krukken mee naar het ziekenhuis).
- Een losse stoel om onder de douche te zetten.
- Een douchezak om over het gips te doen.
- Een rolstoel.
Zorg verder voor
- Een voetenbank, zodat uw kind met het geopereerde been omhoog kan zitten.
- Geen losse kleedjes op de vloer
- Een antislipmat in de badkamer
Overig
Soms zijn er nog andere zaken nodig om van tevoren te regelen. Denk bijvoorbeeld aan vervoer naar school en in school.
De operatie
De operatie zelf duurt ongeveer 120-150 minuten. Uw kind wordt eerst van de verpleegafdeling naar de verkoeverkamer gebracht. Daar ziet u onder andere de anesthesioloog. Na een check brengt deze u en uw kind naar de operatiekamer. Daar is de chirurg aanwezig en nog een aantal andere personen die helpen bij de operatie. Als uw kind slaapt wordt u weer teruggebracht richting verkoeverkamer/verpleegafdeling.
Als uw kind weer op de verkoever kamer ligt en stabiel is wordt u er weer zo snel mogelijk daar naar toe gebracht. Na de operatie spreekt u de arts en hoort u hoe de operatie is gegaan.
Uw kind kan na de operatie starten met het aanspannen en ontspannen van de beenspieren en het wiebelen van de tenen. Dit helpt tegen de zwelling van het been en vermindert de kans op trombose. Dit is een aandoening waarbij er bloedstolsels gevormd worden in de bloedvaten.
Pijnstilling
Uw kind krijgt medicijnen om de pijn onder controle te krijgen. Dit gaat in overleg met de anaesthesioloog en in samenspraak met u.
Antistolling
Na de operatie krijgt uw kind soms een injectie met het bloedverdunnend middel.Dit is om trombose (stolsel in de bloedvaten) te voorkomen. Hij/zij krijgt deze medicatie dan gedurende de gipsperiode in principe 1 keer per dag.
De eerste dag na de operatie
In principe komt ’s morgens de orthopedisch chirurg en een arts-assistent bij uw kind langs en bespreekt hoe het gaat. Heeft u vragen: stel deze dan gerust. Er wordt, voordat uw kind naar huis gaat, een röntgenfoto gemaakt van de geopereerde voet en meestal wordt ook het gips gewisseld.
Fysiotherapie
De fysiotherapeut komt uw kind begeleiden bij het uit bed gaan. Ook geeft de fysiotherapeut instructies voor het lopen met krukken (of looprek). Als uw kind thuis moet traplopen, leert de fysiotherapeut om dit veilig te doen. Het kan zinvol zijn om dit voor de operatie al te oefenen met een fysiotherapeut in uw woonplaats, zodat de revalidatie sneller gaat.
Uw kind mag gedurende 6 weken niet op het geopereerde been staan. Na deze 6 weken krijgt hij/zij in principe loopgips voor nog 4-6 weken. Als na deze 10-12 weken de botuiteinden goed aan elkaar gegroeid zijn, kan het gips verwijderd worden.
De overige dagen na de operatie
De verpleegkundigen helpen - waar nodig - bij de lichamelijke verzorging. Daarnaast verricht de verpleegkundige de nodige lichamelijke controles.
De orthopedisch chirurg en/of arts-assistent komt in principe dagelijks langs om te vragen hoe het gaat, alsmede om vragen te beantwoorden.
Ontslag
Om na de opname naar huis te kunnen is het belangrijk dat:
- Uw kind veilig kan mobiliseren. Eventueel met uw hulp. Idealiter met krukken, anders met een rolstoel.
- De pijn onder controle is met “orale” pijnstilling (tabletten/drankje).
Afspraken
Na ontslag krijgt u een afspraak op de polikliniek. In principe is dat 6 weken na de operatie voor een gipswissel en rontgenfoto. U ziet dan ook de orthopedisch chirurg (bij uitzondering alleen een orthopedisch chirurg in opleiding). Soms is er een extra gipswissel nodig 1-2 weken na de operatie. Dan ziet u in principe alleen een gipsverbandmeester.
De volgende afspraken zijn gebruikelijk:
- 6 weken na de operatie: gipswissel; röntgenfoto; dokter
- 10-12 weken na de operatie: gips af; röntgenfoto; dokter.
- 14-16 weken na de operatie: dokter, eventueel röntgenfoto.
Complicaties/gevolgen
Ondanks alle voorzorgen blijft er een (kleine) kans op de volgende complicaties en gevolgen bestaan:
- Nabloeding (meestal in de eerste 24 uur).
- Trombose. Aanspannen van de beenspieren vermindert de kans op trombose. Omdat dit met het aangedane been moeilijk gaat, prikt u uw kind gedurende de gipsperiode één keer per dag met een bloedverdunnend medicijn.
- Wondinfectie: een infectie kenmerkt zich door roodheid, pijn, zwelling en soms koorts.
- Drukplekken ten gevolge van het gips. Neem bij pijn en tintelingen altijd contact op met de gipskamer.
- Zenuwbeschadiging. Gevoelsverlies in de voet (minder dan 1 % kans). Vaak herstelt dit spontaan binnen een jaar.
- Het kan zijn dat de botdelen langzamer dan verwacht aan elkaar groeien. Het herstel duurt dan langer en soms is een tweede operatie nodig.
Aandachtspunten bij en na ontslag
Contact met ziekenhuis
Bij ernstige roodheid (toename van) wondlekkage, zwelling, pijn, aanhoudend kloppend gevoel, tintelingen in de voet/tenen of koorts (boven 38˚C) neemt u contact op met het ziekenhuis.
020 566 91 11 vragen naar dienstdoende van de Orthopedie.
020 566 22 96 gipskamer.
Benen bewegen
Het regelmatig aanspannen en ontspannen van de beenspieren en het wiebelen van de tenen helpt tegen zwelling van het been en vermindert de kans op trombose.
Wanneer uw kind gaat lopen, zult u merken dat de zwelling in het geopereerde been iets toeneemt. Dit komt omdat het wondvocht dan naar de voet zakt. Dit is normaal na een operatie. Het is goed om regelmatig met het geopereerde been omhoog te zitten.
Medicijnen
Bij het ontslag krijgt u een recept mee voor pijnstilling en soms ook voor antistolling (bloedverdunners). U kunt de medicijnen zelf – laten – halen bij uw eigen apotheek. Uw kind neemt de medicatie op een vast tijdstip in. Verspreid de inname van de pijnstillers over 24 uur, bijvoorbeeld 3 keer per dag elke 8 uur. U mag de pijnmedicatie zelf verlagen als de pijn afneemt.
Het antistollingsmiddel (de bloedverdunner) is in principe een tablet.
Hervatting bezigheden
Overleg tijdens de controleafspraak met uw behandelend arts wanneer uw kind school en/of sport weer kan hervatten.
