In samenspraak met uw orthopedisch chirurg heeft u besloten een operatie aan de voet van uw kind te laten uitvoeren. Deze operatie heet in medische termen een triple artrodese. Uw kind wordt voor deze operatie 2-3 dagen opgenomen op de afdeling Orthopedie. In deze folder staat informatie over de triple artrodese. Heeft u nog vragen na het lezen van deze folder, stel deze dan gerust aan uw behandelend arts of verpleegkundige.
Triple artrodese
Bij een triple artrodese worden 4 botten in de voet die samen 3 (tri) gewrichten vormen aan elkaar vast gezet (artrodese). Het betreft de volgende 4 botten: hielbeen (calcaneus), sprongbeen (talus), scheepvormig been (naviculare) en dobbelsteenvormig been (cuboid).
Samen vormen ze de volgende gewrichten: hielbeen-sprongbeen (onderste spronggewricht), hielbeen-dobbelsteenvormig been en sprongbeen-scheepvormig been (de 2 laatstgenoemde gewrichten worden samen het Chopart gewricht genoemd).
Het onderste spronggewricht is het gewricht tussen het sprongbeen (talus) en het hielbeen (calcaneus). Het gewricht functioneert met name als de ‘zijwaartse’ beweger in de achtervoet (naar binnen en buiten kantelen) wat van belang is voor het aanpassen aan oneffenheden van de grond.
Het Chopart gewricht (met name het sprongbeen-scheepvormig gedeelte) is van belang voor de draaiing in de voet, wat belangrijk is voor het afwikkelen van de voet en ook bij het opvangen van oneffenheden tijdens het lopen.

Redenen om een triple artrodese uit te voeren
- Bij artrose (slijtage van het kraakbeen) van één of meerdere van bovengenoemde gewrichten. Artrose kan ontstaan na een andere aandoening, zoals een botbreuk. Het kraakbeen kan rechtstreeks beschadigd raken, of bijvoorbeeld door een andere manier van bewegen extra snel slijten. Dit heet ‘posttraumatische artrose’ en kan jaren na die andere aandoening alsnog optreden.
- Bij een (ernstige) standsafwijking van de achtervoet kan er ook slijtage met pijn ontstaan als gevolg van het langdurig verkeerd belasten van de gewrichten. Bijvoorbeeld een ernstige, stugge platvoet of holvoet, die onder andere kunnen ontstaan bij een neurologische aandoening of geboorte afwijking.
Tijdens de operatie wordt de stand (voor zover mogelijk) weer gecorrigeerd. - Een ontstekingsreactie van het gewricht kan het kraakbeen aantasten, bijvoorbeeld bij reumatoïde artritis (reuma). Ook hierdoor wordt de kraakbeenlaag op het botuiteinde dunner of de laag verdwijnt geheel. Meestal worden beide enkels/voeten aangetast en de kans bestaat dat ook in andere gewrichten artrose ontstaat.
- De kraakbeenlaag van het gewricht slijt door onbekende oorzaak. De kraakbeenlaag op het botuiteinde wordt dunner en uiteindelijk komt het onderliggende bot (gedeeltelijk) bloot te liggen. Deze vorm van artrose komt het meest voor bij mensen van middelbare leeftijd of ouder.
Voorbereidingen voor de opname
Nadat uw kind voor vooronderzoek is geweest en u een operatiedatum weet, is het handig om thuis wat zaken voor te bereiden voor de opname. Dit is nodig omdat uw kind na de operatie 3 maanden in het gips zit en daardoor met een loophulpmiddel moet lopen. Van deze 3 maanden mag uw kind de eerste 6 weken de voet niet belasten.
Het is raadzaam 1 week voor de opname de noodzakelijke hulpmiddelen te regelen. Dit kan bij een thuiszorgwinkel bij u in de buurt.
Noodzakelijke hulpmiddelen
- 2 elleboogkrukken ( neem deze krukken mee naar het ziekenhuis).
- Een losse stoel om onder de douche te zetten.
- Een douchezak om over het gips te doen.
- Een rolstoel.
Zorg verder voor
- Een voetenbank, zodat uw kind met het geopereerde been omhoog kan zitten.
- Geen losse kleedjes op de vloer.
- Een antislipmat in de badkamer.
De operatie
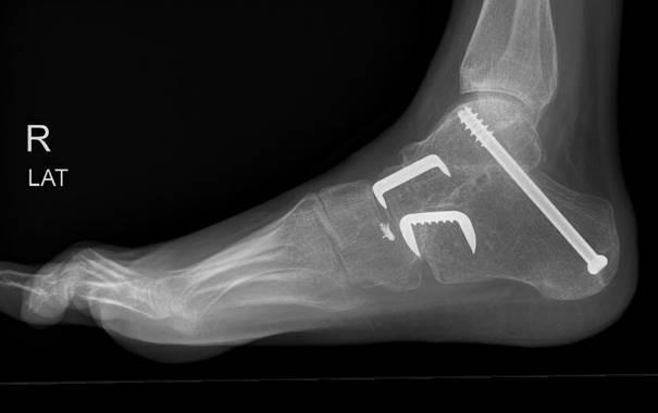
Er worden meestal drie incisies gemaakt: één aan de buitenkant, één aan de binnenkant van de voet en één onder de hiel. Hierna wordt het kraakbeen van het onderste sprong- en middenvoetsgewricht geheel verwijderd. De botten worden met meerdere schroeven en eventueel één of meerdere krammen in de juiste positie vastgezet. De huid wordt meestal gesloten met hechtingen die vanzelf oplossen.
De operatie zelf duurt ongeveer 120 minuten.
Na de operatie
Als de operatie klaar is, wordt uw kind naar de uitslaapkamer gebracht. Na de operatie spreekt u de arts en hoort u hoe de operatie is gegaan. Uw kind kan na de operatie starten met het aanspannen en ontspannen van de beenspieren en het wiebelen van de tenen.
Dit helpt tegen de zwelling van het been en vermindert de kans op trombose. Dit is een aandoening waarbij er bloedstolsels gevormd worden in de bloedvaten.
Pijnstilling
Uw kind krijgt medicijnen om de pijn onder controle te krijgen. Dit gaat in overleg met de anaesthesioloog en in samenspraak met u.
Antistolling
Na de operatie krijgt uw kind meestal een injectie met het bloedverdunnende middel Fraxiparine. Dit is om trombose te voorkomen. Soms is er een indicatie/reden om de bloedverdunners ook thuis te gebruiken, dat is dan bij voorkeur een tablet.
De eerste dag na de operatie
’s Morgens komt de orthopaedisch chirurg en een arts-assistent bij uw kind langs en bespreekt hoe het gaat. Heeft u vragen: stel deze dan gerust.
Er wordt soms, voordat uw kind naar huis gaat, een röntgenfoto gemaakt van de geopereerde voet. Het gips wordt bijna altijd gewisseld voor ontslag.
Fysiotherapie
De fysiotherapeut komt uw kind begeleiden bij het uit bed gaan. Ook geeft de fysiotherapeut instructies voor het lopen met krukken (of looprek). Als uw kind thuis moet traplopen, leert de fysiotherapeut om dit veilig te doen.
Uw kind mag gedurende 6 weken niet op het geopereerde been staan. Na deze 6 weken krijgt hij/zij in principe loopgips voor nog 6 weken. Als na deze 12 weken de botuiteinden goed aan elkaar gegroeid zijn, kan het gips verwijderd worden.
De overige dagen na de operatie
De verpleegkundigen helpen - waar nodig - bij de lichamelijke verzorging. Daarnaast verricht de verpleegkundige de nodige lichamelijke controles. De orthopedisch chirurg/arts-assistent komt dagelijks langs om het gips te bekijken en te vragen hoe het gaat, alsmede om vragen te beantwoorden.
Ontslag
Om na uw opname naar huis te kunnen is het belangrijk dat uw kind:
- Veilig en zelfstandig in en uit bed kan komen.
- Veilig en zelfstandig kan lopen met een loophulpmiddel.
- Veilig en zelfstandig kan traplopen indien nodig.
Afspraken
Bij het ontslag krijgt u 1 afspraak mee, deze vindt plaats ongeveer 6 weken na de operatie. Soms is er nog een extra gipswissel nodig na 1-2 weken, dan ziet u alleen de gipsverband-meester. De hechtingen lossen meestal vanzelf op. Als de hechtingen niet oplossen worden deze ongeveer 2 weken na de operatie verwijderd tijdens de gipswissel.
De volgende afspraken zijn gebruikelijk:
- 6 weken na de operatie: gipswissel, röntgenfoto, dokter.
- 12 weken na de operatie: gips af, röntgenfoto, dokter.
- 16 weken na de operatie: dokter, eventueel röntgenfoto.
Complicaties/gevolgen
Ondanks alle voorzorgen blijft er een (kleine) kans op de volgende complicaties en gevolgen bestaan:
- Nabloeding (meestal in de eerste 24 uur).
- Trombose. Aanspannen van de beenspieren vermindert de kans op trombose. Omdat dit met het aangedane been moeilijk gaat, prikt u uw kind gedurende de gipsperiode één keer per dag met een bloedverdunnend medicijn.
- Wondinfectie: een infectie kenmerkt zich door roodheid, pijn, zwelling en soms koorts.
- Drukplekken ten gevolge van het gips: neem bij pijn en tintelingen altijd contact op met de gipskamer.
- Zenuwbeschadiging: gevoelsverlies in de voet ( minder dan 1% kans). Vaak herstelt dit spontaan binnen een jaar.
- Het kan zijn dat de botdelen langzamer dan verwacht aan elkaar groeien. Het herstel duurt dan langer en soms is een tweede operatie nodig.
Aandachtspunten bij en na ontslag
Contact met ziekenhuis
Bij ernstige roodheid (toename van) wondlekkage, zwelling, pijn, aanhoudend kloppend gevoel, tintelingen in de voet/tenen of koorts (boven 38˚C) neemt u telefonische contact op met het ziekenhuis.
020 566 91 11 (vragen naar dienstdoende van de afdeling Orthopaedie)
020 566 22 96 (Gipskamer, gedurende kantoortijden)
Benen bewegen
Het regelmatig aanspannen en ontspannen van de beenspieren en het wiebelen van de tenen helpt tegen zwelling van het been en vermindert de kans op trombose.
Wanneer uw kind gaat lopen, zult u merken dat de zwelling in het geopereerde been iets toeneemt. Dit komt omdat het wondvocht dan naar de voet zakt. Dit is normaal na een operatie. Het is goed om regelmatig met het geopereerde been omhoog te zitten.
Medicijnen
Bij het ontslag krijgt u een recept mee voor pijnstilling en antistolling (bloedverdunners). U kunt de medicijnen zelf – laten – halen bij uw eigen apotheek. Uw kind neemt de medicatie op een vast tijdstip in. Verspreid de inname van de pijnstillers over 24 uur, bijvoorbeeld 3 keer per dag elke 8 uur. U mag de pijnmedicatie zelf verlagen als de pijn afneemt.
Het antistollingsmiddel (de bloedverdunner) injecteert u 1 keer per dag gedurende de gipsperiode bij uw kind.
Hervatting bezigheden
Overleg tijdens de controleafspraak met uw behandelend arts wanneer uw kind school en/of sport weer kan hervatten.

Voorbeeld van een röntgenfoto na de operatie